Thermus aquaticus ATCC 33923 amylomaltase gene cloning and expression and enzyme characterization: production of cycloamylose
- PMID: 10049841
- PMCID: PMC91122
- DOI: 10.1128/AEM.65.3.910-915.1999
Thermus aquaticus ATCC 33923 amylomaltase gene cloning and expression and enzyme characterization: production of cycloamylose
Abstract
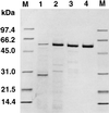
The amylomaltase gene of the thermophilic bacterium Thermus aquaticus ATCC 33923 was cloned and sequenced. The open reading frame of this gene consisted of 1,503 nucleotides and encoded a polypeptide that was 500 amino acids long and had a calculated molecular mass of 57,221 Da. The deduced amino acid sequence of the amylomaltase exhibited a high level of homology with the amino acid sequence of potato disproportionating enzyme (D-enzyme) (41%) but a low level of homology with the amino acid sequence of the Escherichia coli amylomaltase (19%). The amylomaltase gene was overexpressed in E. coli, and the enzyme was purified. This enzyme exhibited maximum activity at 75 degrees C in a 10-min reaction with maltotriose and was stable at temperatures up to 85 degrees C. When the enzyme acted on amylose, it catalyzed an intramolecular transglycosylation (cyclization) reaction which produced cyclic alpha-1,4-glucan (cycloamylose), like potato D-enzyme. The yield of cycloamylose produced from synthetic amylose with an average molecular mass of 110 kDa was 84%. However, the minimum degree of polymerization (DP) of the cycloamylose produced by T. aquaticus enzyme was 22, whereas the minimum DP of the cycloamylose produced by potato D-enzyme was 17. The T. aquaticus enzyme also catalyzed intermolecular transglycosylation of maltooligosaccharides. A detailed analysis of the activity of T. aquaticus ATCC 33923 amylomaltase with maltooligosaccharides indicated that the catalytic properties of this enzyme differ from those of E. coli amylomaltase and the plant D-enzyme.
Figures
References
-
- Cole S T, Brosch R, Parkhill J, Garnier T, Churcher C, Harris D, Gordon S V, Eiglmeier K, Gas S, III C E B, Tekaia F, Badcock K, Basham D, Brown D, Chillingworth T, Connor R, Davies R, Devlin K, Feltwell T, Gentles S, Hamlin N, Holroyd S, Hornsby T, Jagels K, Krogh A, McLean J, Moule S, Murphy L, Oliver K, Osborne J, Quail M A, Rajandream M-A, Rogers J, Rutter S, Seeger K, Skelton J, Squares R, Squares S, Sulston J E, Taylor K, Whitehead S, Barrell B G. Deciphering the biology of Mycobacterium tuberculosis from the complete genome sequence. Nature. 1998;393:537–544. - PubMed
-
- Deckert G, Warren P V, Gaasterland T, Young W G, Lenox A L, Graham D E, Overbeek R, Snead M A, Keller M, Aujay M, Huber R, Feldman R A, Short J M, Olson G J, Swanson R V. The complete genome of the hyperthermophilic bacterium Aquifex aeolicus. Nature. 1998;392:353–358. - PubMed
-
- Fleischmann R D, Adams M D, White O, Clayton R A, Kirkness E F, Kerlavage A R, Bult C J, Tomb J-F, Dougherty B A, Merrick J M, McKenney K, Sutton G, FitzHugh W, Fields C A, Gocayne J D, Scott J D, Shirley R, Liu L-I, Glodek A, Kelley J M, Weidman J F, Phillips C A, Spriggs T, Hedblom E, Cotton M D, Utterback T R, Hanna M C, Nguyen D T, Saudek D M, Brandon R C, Fine L D, Fritchman J L, Fuhrmann J L, Geoghagen N S M, Gnehm C L, McDonald L A, Small K V, Fraser C M, Smith H O, Venter J C. Whole-genome random sequencing and assembly of Haemophilus influenzae Rd. Science. 1995;269:496–512. - PubMed
-
- Fraser C M, Casjens S, Huang W M, Sutton G G, Clayton R, Lathigra R, White O, Ketchum K A, Dodson R, Hickey E K, Gwinn M, Dougherty B, Tomb J-F, Fleischmann R D, Richardson D, Peterson J, Kerlavage A R, Quackenbush J, Salzberg S, Hanson M, van Vugt R, Palmer N, Adams M D, Gocayne J, Weidman J, Utterback T, Watthey L, McDonald L, Artiach P, Bowman C, Garland S, Fujii C, Cotton M D, Horst K, Roberts K, Hatch B, Smith H O, Venter J C. Genomic sequence of a Lyme disease spirochaete, Borrelia burgdorferi. Nature. 1997;390:580–586. - PubMed
Publication types
MeSH terms
Substances
Associated data
- Actions
LinkOut - more resources
Full Text Sources
Other Literature Sources
