Skip to main page content
U.S. flag

An official website of the United States government

Dot gov

The .gov means it’s official.
Federal government websites often end in .gov or .mil. Before sharing sensitive information, make sure you’re on a federal government site.

Https

The site is secure.
The https:// ensures that you are connecting to the official website and that any information you provide is encrypted and transmitted securely.

Access keys NCBI Homepage MyNCBI Homepage Main Content Main Navigation
. 1999 Apr;19(4):2977-85.
doi: 10.1128/MCB.19.4.2977.

Binding of Gal4p and bicoid to nucleosomal sites in yeast in the absence of replication

Affiliations

Binding of Gal4p and bicoid to nucleosomal sites in yeast in the absence of replication

B Balasubramanian et al. Mol Cell Biol. 1999 Apr.

Abstract

The yeast transcriptional activator Gal4p can bind to sites in nucleosomal DNA in vivo which it is unable to access in vitro. One event which could allow proteins to bind to otherwise inaccessible sites in chromatin in living cells is DNA replication. To determine whether replication is required for Gal4p to bind to nucleosomal sites in yeast, we have used previously characterized chromatin reporters in which Gal4p binding sites are incorporated into nucleosomes. We find that Gal4p is able to perturb nucleosome positioning via nucleosomal binding sites in yeast arrested either in G1, with alpha-factor, or in G2/M, with nocodazole. Similar results were obtained whether Gal4p synthesis was induced from the endogenous promoter by growth in galactose medium or by an artificial, hormone-inducible system. We also examined binding of the Drosophila transcriptional activator Bicoid, which belongs to the homeodomain class of transcription factors. We show that Bicoid, like Gal4p, can bind to nucleosomal sites in SWI+ and swi1Delta yeast and in the absence of replication. Our results indicate that some feature of the intracellular environment other than DNA replication or the SWI-SNF complex permits factor access to nucleosomal sites.

PubMed Disclaimer

Figures

FIG. 1
FIG. 1
Experimental strategy. (A) Schematic depiction of two chromatin reporter plasmids, TALS and TA17Δ80. UASGAL3 is a single Gal4p binding site from the GAL3 promoter (3), and UAS17 is a single near-consensus Gal4p binding site (21) introduced in the TRP1ARS1 derivative TA17Δ80 (48). Only nucleosomes I and II have been shown to be well positioned in TA17Δ80, and so the remaining nucleosomes are not numbered. (B) Scheme for placing Gal4p synthesis under hormonal control. aa, amino acids. See text for details. (C) The chimeric activator LexA-ER-VP16 was tested for activity at a CYC1-lacZ reporter gene having two, four, or eight LexA binding sites upstream. Yeast cells (YJ0α) grown in raffinose medium to mid-log phase were incubated for 3 h after addition of 100 nM β-estradiol before measurements of β-galactosidase activity for plus-hormone samples. The results shown are an average from three independent colonies from each of two independent transformations.
FIG. 2
FIG. 2
Induction of mRNAs by Gal4p in arrested and unsynchronized yeast cells. (A) Induction of GAL4 mRNA under control of LexA-ER-VP16, and consequent induction of GAL1 and GAL10 mRNAs by Gal4p, from unsynchronized and nocodazole-arrested YJ0α yeast cells grown in raffinose medium in the presence (for 3 h) and absence of β-estradiol. The PYK1 message was examined as a control. (B) Induction of GAL4, GAL1, and GAL10 mRNAs under endogenous control in unsynchronized and arrested yeast cells. Cells (FY24 yeast cells containing TALS and pRS426GAL4) were grown in glucose medium and mRNA was harvested (glu lanes), or the cells were spun down and transferred to galactose medium, and mRNA was harvested at indicated times (gal lanes). The PRC1 message was examined as a control.
FIG. 3
FIG. 3
Remodeling of TALS chromatin assessed by changes in topology in unsynchronized and arrested yeast cells. (A) Cells (YJ0α) harboring TALS and having GAL4 under control of LexA-ER-VP16 were grown in raffinose medium in the presence or absence of hormone, either unsynchronized or arrested as indicated, and DNA was isolated for analysis of TALS topoisomer distributions. Hormone induction was for 3 h at 100 nM β-estradiol. The band near the top is nicked circular DNA, and the lower bands represent topoisomers differing in linking number from adjacent bands by one; under the conditions used, faster-migrating species are more positively supercoiled. Values shown for ΔLk indicate the differences between the calculated centers of the Gaussian distributions in the lanes indicated. (B) Topoisomer distributions of TALS from cells (FY24) harboring TALS and a multicopy plasmid bearing the GAL4 gene grown in glucose medium in the presence of nocodazole (10 μg/ml) for 3 h or in its absence, as indicated. Cells were spun down and taken up in galactose medium with or without nocodazole and incubated for the additional intervals indicated. The uppermost band corresponds to nicked circular TALS, and faster-migrating topoisomers are more positively supercoiled. The linking number changes between samples grown in glucose and galactose are indicated at the bottom. o/n, overnight.
FIG. 4
FIG. 4
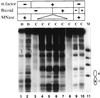
Remodeling of TA17Δ80 chromatin by Gal4p in unsynchronized and arrested cells assayed by indirect end-label analysis of MNase cleavage sites. (A) Yeast cells (FY23bar1Δ) harboring TA17Δ80 and pRS426GAL4 were grown in glucose, either unsynchronized or arrested with nocodazole as indicated, or shifted from glucose to galactose medium (still containing nocodazole for arrested cells) and incubated an additional 6 h prior to harvesting of chromatin for MNase digestion. MNase cleavage sites were mapped counterclockwise from the EcoRV site (Fig. 1A). Lanes: C, chromatin; D, naked DNA; M, φX DNA digested with HaeIII. The locations of nucleosomes I and II are indicated at the left, with the rectangle in nucleosome I representing the Gal4p binding site. Cleavage sites induced in galactose medium after 6 h are indicated by asterisks (lanes 4 and 13); the upper site is much more prominent and is not cleaved in naked DNA. MNase was used at 0 (lanes 8, 9, and 17), 2 (lanes 1, 6, 10, and 15), 5 (lanes 2, 5, 11, and 14), and 20 (lanes 3, 4, 12, and 13) U/ml for chromatin and at 4 (lane 7) and 10 (lane 16) U/ml for naked DNA. (B) Cells were grown in glucose and arrested with α-factor, and chromatin was isolated before and after 6 h of additional incubation in galactose medium. n.a., not applicable. MNase concentrations used are given in units per milliliter.
FIG. 5
FIG. 5
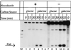
Remodeling of TA17Δ80 chromatin by Gal4p in unsynchronized and arrested cells assayed by restriction enzyme accessibility. Chromatin from cells treated as for Fig. 6 (an aliquot from the same preparation) was incubated in the absence (for 30 min) or presence of PstI at 200 U/ml for 15 min or 30 min, as indicated. Purified DNA was secondarily digested with EcoRV and analyzed by indirect end labeling, probing counterclockwise from the EcoRV site (Fig. 1A). The band at the top is the EcoRV-cut intact plasmid, and the band indicated by the arrow corresponds to cleavage at the PstI site in nucleosome I. The cleavage site at about 1,400 bp corresponds to a second PstI site in TA17Δ80. Lane M contains φX DNA digested with HaeIII.
FIG. 6
FIG. 6
Remodeling of TABic4Δ80 chromatin by Bicoid in unsynchronized SWI+ and swi1Δ yeast cells. (A) MNase cleavage sites were mapped counterclockwise from the EcoRV site in chromatin from yeast cells (CY296) harboring TABic4Δ80 and the Bicoid (Bic) expression system grown in the absence of hormone (lanes 3 and 4) or 4.5 h after addition of 100 nM β-estradiol (lanes 5 and 6). Also shown is chromatin treated with MNase from cells harboring TA17Δ80, grown in glucose (lane 7) or galactose medium (lane 8). DNA samples are TABic4Δ80 (lanes 1 and 2). The locations of nucleosomes I and II are indicated at the top and the right, with the small rectangle in nucleosome I corresponding to binding sites for Bicoid or Gal4p in the various episomes. MNase was used at 5 (lanes 3 and 6) and 20 (lanes 4, 5, 7, and 8) U/ml for chromatin and at 4 (lane 1) and 10 (lane 2) U/ml for naked DNA. (B) MNase cleavage sites were mapped counterclockwise from the EcoRV site in chromatin from swi1Δ yeast cells (CY297b) harboring TABic4Δ80 and the Bicoid expression system grown in the absence of hormone (lanes 3 to 5) or 4.5 h after addition of 100 nM β-estradiol (lanes 6 to 8). MNase was used at 0 (lanes 3 and 8), 2 (lanes 4 and 7), and 5 (lanes 5 and 6) U/ml for chromatin and at 4 (lane 1) and (lane 2) 10 U/ml for naked DNA.
FIG. 7
FIG. 7
Remodeling of TABic4Δ80 chromatin by Bicoid in arrested cells assayed by indirect end-label analysis of MNase cleavage sites. Yeast cells (YJ0bar1Δ) harboring TABic4Δ80 and the Bicoid expression system were first arrested with α-factor or not, as indicated. Hormone was then added (+Bicoid lanes) or not (−Bicoid lanes), cells were incubated an additional 4.25 h, and chromatin was isolated for MNase digestion. MNase cleavage sites were mapped counterclockwise from the EcoRV site. Lanes C contain chromatin; lanes D contain naked DNA controls. The locations of nucleosomes I and II are indicated schematically at the sides, with the small rectangle in nucleosome I corresponding to the four Bicoid binding sites. The asterisks indicate cleavage sites induced by Bicoid expression. MNase was used at 0 (lanes 3 and 8), 20 (lanes 9 and 10), 50 (lanes 4 and 7), and (lanes 5 and 6) 200 U/ml for chromatin samples and at 4 (lane 1) and 10 (lane 2) U/ml for naked DNA. Lane 11 contains φX DNA digested with HaeIII. A shorter exposure was used for lanes 9 to 11 than for lanes 1 to 8.

References

    1. Aparicio O, Gottschling D M. Overcoming telomeric silencing: a trans-activator competes to establish gene expression in a cell cycle-dependent way. Genes Dev. 1994;8:1133–1146. - PubMed
    1. Axelrod J D, Reagan M S, Majors J. GAL4 disrupts a repressing nucleosome during activation of GAL1 transcription in vivo. Genes Dev. 1993;7:857–869. - PubMed
    1. Bajwa W, Torchia T E, Hopper J E. Yeast regulatory gene GAL3: carbon regulation; UASGAL elements in common with GAL1, GAL2, GAL7, GAL10, GAL80, and MEL1; encoded protein strikingly similar to yeast and Escherichia coli galactokinases. Mol Cell Biol. 1988;8:3439–3447. - PMC - PubMed
    1. Balasubramanian, B., and R. H. Morse. Unpublished results.
    1. Barton M C, Emerson B M. Regulated expression of the β-globin gene locus in synthetic nuclei. Genes Dev. 1994;8:2453–2465. - PubMed

Publication types

MeSH terms

LinkOut - more resources