Bone marrow NK1.1(-) and NK1.1(+) T cells reciprocally regulate acute graft versus host disease
- PMID: 10190898
- PMCID: PMC2193016
- DOI: 10.1084/jem.189.7.1073
Bone marrow NK1.1(-) and NK1.1(+) T cells reciprocally regulate acute graft versus host disease
Abstract
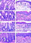
Sorted CD4(+) and CD8(+) T cells from the peripheral blood or bone marrow of donor C57BL/6 (H-2(b)) mice were tested for their capacity to induce graft-versus-host disease (GVHD) by injecting the cells, along with stringently T cell-depleted donor marrow cells, into lethally irradiated BALB/c (H-2(d)) host mice. The peripheral blood T cells were at least 30 times more potent than the marrow T cells in inducing lethal GVHD. As NK1.1(+) T cells represented <1% of all T cells in the blood and approximately 30% of T cells in the marrow, the capacity of sorted marrow NK1.1(-) CD4(+) and CD8(+) T cells to induce GVHD was tested. The latter cells had markedly increased potency, and adding back marrow NK1.1(+) T cells suppressed GVHD. The marrow NK1.1(+) T cells secreted high levels of both interferon gamma (IFN-gamma) and interleukin 4 (IL-4), and the NK1.1(-) T cells secreted high levels of IFN-gamma with little IL-4. Marrow NK1.1(+) T cells obtained from IL-4(-/-) rather than wild-type C57BL/6 donors not only failed to prevent GVHD but actually increased its severity. Together, these results demonstrate that GVHD is reciprocally regulated by the NK1.1(-) and NK1.1(+) T cell subsets via their differential production of cytokines.
Figures
References
-
- Sullivan, K.M. 1994. Graft-versus-host disease. In Bone Marrow Transplantation. S.J. Forman, K.G. Blume, and E.D. Thomas, editors. Blackwell Scientific Publications, Boston. xxiii, 942.
-
- Weisdorf D, Hakke R, Blazar B, Miller W, McGlave P, Ramsay N, Kersey J, Filipovich A. Risk factors for acute graft-versus-host disease in histocompatible donor bone marrow transplantation. Transplantation. 1991;51:1197–1203. - PubMed
-
- Bross DS, Tutschka PJ, Farmer ER, Beschorner WE, Braine HG, Mellits ED, Bias WB, Santos GW. Predictive factors for acute graft-versus-host disease in patients transplanted with HLA-identical bone marrow. Blood. 1984;63:1265–1270. - PubMed
-
- Ferrara JL, Cooke KR, Pan L, Krenger W. The immunopathophysiology of acute graft-versus-host-disease. Stem Cells. 1996;14:473–489. - PubMed
-
- Korngold R, Sprent J. Surface markers of T cells causing lethal graft-vs-host disease to class I vs class II H-2 differences. J Immunol. 1985;135:3004–3010. - PubMed
Publication types
MeSH terms
Substances
Grants and funding
LinkOut - more resources
Full Text Sources
Other Literature Sources
Medical
Research Materials
