Effects of mutant p53 expression on human 15-lipoxygenase-promoter activity and murine 12/15-lipoxygenase gene expression: evidence that 15-lipoxygenase is a mutator gene
- PMID: 10200270
- PMCID: PMC16340
- DOI: 10.1073/pnas.96.8.4378
Effects of mutant p53 expression on human 15-lipoxygenase-promoter activity and murine 12/15-lipoxygenase gene expression: evidence that 15-lipoxygenase is a mutator gene
Abstract
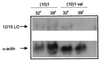
Human 15-lipoxygenase (h15-LO) is present on chromosome 17p13.3 in close proximity to the tumor-suppressor gene, p53. 15-LO is implicated in antiinflammation, membrane remodeling, and cancer development/metastasis. The murine BALB/c embryo fibroblast cell line, (10)1val, expresses p53 in mutant (mt) conformation when grown at 39 degrees C and in wild-type conformation when grown at 32 degrees C. Transfection of h15-LO promoter constructs (driving luciferase reporter) into (10)1val cells and into p53-deficient (10)1 cells resulted in a marked increase in h15-LO promoter activity in (10)1val cells at 39 degrees C, but not at 32 degrees C, or as compared with (10)1 cells. Transfection of h15-LO promoter deletion constructs, however, resulted in total loss of activity in both cell types at 32 degrees C and 39 degrees C. Cotransfection of (10)1 cells with h15-LO promoter (driving luciferase reporter) along with increasing levels of a mt p53 expression vector demonstrated dose-dependent capacity of mt p53 to induce 15-LO promoter activity. No effect was observed with wild-type p53. In contrast to h15-LO promoter activity, (10)1val cells had significantly lower levels of endogenous (murine) 12/15-LO (mouse analog of h15-LO) mRNA and protein when grown at 39 degrees C compared with cells grown at 32 degrees C. Our data support the hypothesis that loss of a tumor-suppressor gene (p53), or "gain-of-function activities" resulting from the expression of its mutant forms, regulates 15-LO promoter activity in man and in mouse, albeit in directionally opposite manners. The studies define a direct link between 15-LO activity and an established tumor-suppressor gene located in close chromosomal proximity.
Figures






References
-
- Samuelsson B, Dahlen S E, Lindgren J A, Rouzer C A, Serhan C N. Science. 1987;237:1171–1176. - PubMed
-
- Badr K F. Curr Opin Nephrol Hypertens. 1997;6:111–118. - PubMed
-
- Katoh T, Lakkis F G, Makita N, Badr K F. Kidney Int. 1994;46:341–349. - PubMed
-
- Yoshimoto T, Arakawa T, Hada T, Yamamoto S, Takahashi E. J Biol Chem. 1992;267:24805–24809. - PubMed
Publication types
MeSH terms
Substances
Grants and funding
LinkOut - more resources
Full Text Sources
Other Literature Sources
Molecular Biology Databases
Research Materials
Miscellaneous