Abundance and diversity of Archaea in heavy-metal-contaminated soils
- PMID: 10427009
- PMCID: PMC91494
- DOI: 10.1128/AEM.65.8.3293-3297.1999
Abundance and diversity of Archaea in heavy-metal-contaminated soils
Abstract
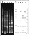
The impact of heavy-metal contamination on archaean communities was studied in soils amended with sewage sludge contaminated with heavy metals to varying extents. Fluorescent in situ hybridization showed a decrease in the percentage of Archaea from 1.3% +/- 0.3% of 4', 6-diamidino-2-phenylindole-stained cells in untreated soil to below the detection limit in soils amended with heavy metals. A comparison of the archaean communities of the different plots by denaturing gradient gel electrophoresis revealed differences in the structure of the archaean communities in soils with increasing heavy-metal contamination. Analysis of cloned 16S ribosomal DNA showed close similarities to a unique and globally distributed lineage of the kingdom Crenarchaeota that is phylogenetically distinct from currently characterized crenarchaeotal species.
Figures


References
-
- Chatzinotas A, Sandaa R-A, Schönhuber W, Amann R I, Daae L F, Torsvik V, Zeyer J, Hahn D. Analysis of broad-scale differences in microbial communities of two pristine forest soils. Syst Appl Microbiol. 1998;21:588–592. - PubMed
Publication types
MeSH terms
Substances
LinkOut - more resources
Full Text Sources
Molecular Biology Databases