Skip to main page content
U.S. flag

An official website of the United States government

Dot gov

The .gov means it’s official.
Federal government websites often end in .gov or .mil. Before sharing sensitive information, make sure you’re on a federal government site.

Https

The site is secure.
The https:// ensures that you are connecting to the official website and that any information you provide is encrypted and transmitted securely.

Access keys NCBI Homepage MyNCBI Homepage Main Content Main Navigation
Case Reports
. 1999 Aug;20(7):1284-6.

Intracystic hemorrhage of the middle fossa arachnoid cyst and subdural hematoma caused by ruptured middle cerebral artery aneurysm

Affiliations
Case Reports

Intracystic hemorrhage of the middle fossa arachnoid cyst and subdural hematoma caused by ruptured middle cerebral artery aneurysm

D Huang et al. AJNR Am J Neuroradiol. 1999 Aug.

Abstract

We report a case of a cerebral aneurysm arising from the bifurcation of the left middle cerebral artery that ruptured into a left middle cranial fossa arachnoid cyst, associated with acute subdural hematoma. We discuss the relationships of aneurysm, arachnoid cyst, and subdural hematoma.

PubMed Disclaimer

Figures

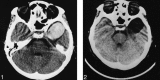
<sc>fig</sc> 1.
fig 1.
A noncontrast CT shows a well-circumscribed and rounded high-attenuation area in the left Sylvian fissure without clearly defined mass effect. This image depicts a thin crescent of surrounding CSF.fig 2. A noncontrast CT scan obtained 4 years prior to the current admission shows an arachnoid cyst in the left middle cranial fossa, without coexistence of the above-shown hyperattenuating finding
<sc>fig</sc> 3.
fig 3.
MR imaging after CT study. A, MR imaging shows a marginally isointense and centrally hyperintense rounded lesion on T1-weighted images, surrounded by a clearly defined hypointense rim. B, T2-weighted images depict the CT hyperattenuating focus as a hypointense lesion surrounded by thin marginal hyperintensity, which presumably is the CSF of the subarachnoid space. C, Fluid attenuation inversion recovery (FLAIR) images help confirm the presence of CSF surrounding the hypointense rim. The marginal hyperintensity on T2-weighted imaging most likely represents CSF in light of the signal nulling, which is shown on the FLAIR sequence, as one would expect to see in an area of simple fluid. D, MR imaging depicts thin bilateral convexity subdural hematomas as hyperintense collections on the Tl-weighted image. A hypoplastic left Sylvian fissure also is noticed.
<sc>fig</sc> 4.
fig 4.
A lateral view of the left internal carotid angiogram shows an irregular anteriorly and laterally projecting aneurysm arising from the left middle cerebral artery bifurcation

References

    1. Ragland RL, Gelber ND, Wilkinson HA, Knorr JR, Tran AA. Anterior communicating artery aneurysm rupture: an unusual cause of acute subdural hemorrhage. . Surg Neurol 1993;40:400-402 - PubMed
    1. Kondziolka D, Bernstein M, Brugge KT, Schutz H. Acute subdural hematoma from ruptured posterior communicating artery aneurysm. . Neurosurgery 1998;22:151-154 - PubMed
    1. Handel SF, Perpetuo FOL, Handel CH. Subdural hematomas due to ruptured cerebral aneurysms: angiographic diagnosis and potential pitfall for CT. . AJR Am J Roentgenol 1978;130:507-509 - PubMed
    1. lde C, Coene BD, Gilliard C, et al. Hemorrhagic arachnoid cyst with third nerve paresis: CT and MR findings. . AJNR Am J Neuroradiol 1997;18:1407-1410 - PMC - PubMed
    1. Munk PL, Robertson WD, Durity FA. Middle fossa arachnoid cyst and subdural hematoma: CT studies. . J Comput Assist Tomogr 1998;12:1073-1075 - PubMed

Publication types