Allergic lung responses are increased in prostaglandin H synthase-deficient mice
- PMID: 10491407
- PMCID: PMC408432
- DOI: 10.1172/JCI6890
Allergic lung responses are increased in prostaglandin H synthase-deficient mice
Abstract
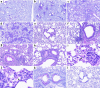
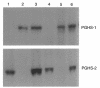
To investigate the function of prostaglandin H synthase-1 and synthase-2 (PGHS-1 and PGHS-2) in the normal lung and in allergic lung responses, we examined allergen-induced pulmonary inflammation and airway hyperresponsiveness in wild-type mice and in PGHS-1(-/-) and PGHS-2(-/-) mice. Among nonimmunized saline-exposed groups, we found no significant differences in lung function or histopathology, although PGE(2) was dramatically reduced in bronchoalveolar lavage (BAL) fluid from PGHS-1(-/-) mice, relative to wild-type or PGHS-2(-/-) mice. After ovalbumin sensitization and challenge, lung inflammatory indices (BAL cells, proteins, IgE, lung histopathology) were significantly greater in PGHS-1(-/-) mice compared with PGHS-2(-/-) mice, and both were far greater than in wild-type mice, as illustrated by the ratio of eosinophils in BAL fluid (8:5:1, respectively). Both allergic PGHS-1(-/-) and PGHS-2(-/-) mice exhibited decreased baseline respiratory system compliance, whereas only allergic PGHS-1(-/-) mice showed increased baseline resistance and responsiveness to methacholine. Ovalbumin exposure caused a modest increase in lung PGHS-2 protein and a corresponding increase in BAL fluid PGE(2) in wild-type mice. We conclude that (a) PGHS-1 is the predominant enzyme that biosynthesizes PGE(2) in the normal mouse lung; (b) PGHS-1 and PGHS-2 products limit allergic lung inflammation and IgE secretion and promote normal lung function; and (c) airway inflammation can be dissociated from the development of airway hyperresponsiveness in PGHS-2(-/-) mice.
Figures







References
-
- Holtzman MJ. Arachidonic acid metabolism: implications of biological chemistry for lung function and disease. Am Rev Respir Dis. 1991;143:188–203. - PubMed
-
- Wenzel SE. Arachidonic acid metabolites: mediators of inflammation in asthma. Pharmacotherapy. 1997;17:3S–12S. - PubMed
-
- Adelroth E, Morris MM, Hargreave FE, O’Byrne PM. Airway responsiveness to leukotrienes C4 and D4 and to methacholine in patients with asthma and normal controls. N Engl J Med. 1986;315:480–484. - PubMed
-
- Drazen JM, Israel E, O’Byrne PM. Treatment of asthma with drugs modifying the leukotriene pathway. N Engl J Med. 1999;340:197–206. - PubMed
MeSH terms
Substances
LinkOut - more resources
Full Text Sources
Other Literature Sources
Medical
Molecular Biology Databases
Research Materials