IL-1beta differentially regulates calcium wave propagation between primary human fetal astrocytes via pathways involving P2 receptors and gap junction channels
- PMID: 10500225
- PMCID: PMC18082
- DOI: 10.1073/pnas.96.20.11613
IL-1beta differentially regulates calcium wave propagation between primary human fetal astrocytes via pathways involving P2 receptors and gap junction channels
Abstract
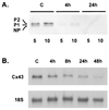
In mammalian astrocytes, calcium waves are transmitted between cells via both a gap junction-mediated pathway and an extracellular, P2 receptor-mediated pathway, which link the cells into a syncytium. Calcium waves in astrocytes have also been shown to evoke calcium transients in neurons, and activity in neurons can elicit calcium waves in astrocytes. In this study, we show that in primary human fetal astrocytes, the P2 receptor-mediated and gap junction-mediated pathways are differentially regulated by the cytokine IL-1beta. Confocal microscopy of astrocytes loaded with Indo-1 demonstrated that intercellular calcium wave transmission in IL-1beta-treated cultures was potentiated compared with controls. However, transmission of calcium waves via the gap junction-mediated pathway was strikingly reduced. The major component of functional gap junctions in human fetal astrocytes was demonstrated to be connexin43 (Cx43), and there was a marked reduction of junctional conductance, loss of dye coupling, loss of Cx43 protein, and down-regulation of Cx43 mRNA expression after IL-1beta treatment of cultures. Conversely, transmission of calcium waves via the P2 receptor-mediated pathway was potentiated in IL-1beta-treated cultures compared with controls. This potentiation was associated with an increase in the number of cells responsive to UTP, and with a transient increase in expression of the P2Y(2) purinoceptor mRNA. Because in inflammatory conditions of the human central nervous system IL-1beta is produced both by resident glia and by invading cells of the immune system, our results suggest that inflammatory events may have a significant impact on coordination of astrocytic function and on information processing in the central nervous system.
Figures





References
-
- Sanderson M J, Charles A C, Boitano S, Dirksen E R. Mol Cell Endocrinol. 1994;98:173–187. - PubMed
-
- Boitano S, Dirksen E R, Sanderson M J. Science. 1992;258:292–295. - PubMed
-
- Osipchuk Y, Cahalan M. Nature (London) 1992;359:241–244. - PubMed
-
- Yuste R, Nelson D, Rubin W, Katz L C. Neuron. 1995;14:7–17. - PubMed
Publication types
MeSH terms
Substances
Grants and funding
LinkOut - more resources
Full Text Sources
Research Materials
Miscellaneous