Isolation, cultivation, and characterization of Borrelia burgdorferi from rodents and ticks in the Charleston area of South Carolina
- PMID: 10618074
- PMCID: PMC86035
- DOI: 10.1128/JCM.38.1.120-124.2000
Isolation, cultivation, and characterization of Borrelia burgdorferi from rodents and ticks in the Charleston area of South Carolina
Abstract
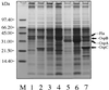
Twenty-eight Borrelia burgdorferi isolates from the Charleston, S.C., area are described. This represents the first report and characterization of the Lyme disease spirochete from that state. The isolates were obtained from December 1994 through December 1995 from the tick Ixodes scapularis, collected from vegetation, and from the rodents Peromyscus gossypinus (cotton mouse), Neotoma floridana (eastern wood rat), and Sigmodon hispidus (cotton rat). All isolates were screened immunologically by indirect immunofluorescence with monoclonal antibodies to B. burgdorferi-specific outer surface protein A (OspA) (antibodies H5332 and H3TS) and B. burgdorferi-specific OspB (antibodies H6831 and H614), a Borrelia (genus)-specific antiflagellin antibody (H9724), Borrelia hermsii-specific antibodies (H9826 and H4825), and two polyclonal antibodies (one to Borrelia species and another to B. burgdorferi). Six of the isolates were analyzed by exposing Western blots to monoclonal antibodies H5332, H3TS, H6831, and H9724. All isolates were also analyzed by PCR with five pairs of primers known to amplify selected DNA target sequences specifically reported to be present in the reference strain, B. burgdorferi B-31. The protein profiles of six of the isolates (two from ticks, one from a cotton mouse, two from wood rats, and one from a cotton rat) also were compared by sodium dodecyl sulfate-polyacrylamide gel electrophoresis. We conclude that the 28 Charleston isolates are B. burgdorferi sensu stricto based on their similarities to the B. burgdorferi B-31 reference strain.
Figures
References
-
- Alley J W, Sikes R K, Rochat R, McKinsley T W, Smith J D, Roberts J J. Tickborne diseases…Georgia, 1989. Ga Epidemiol Rep. 1990;6:2–4.
-
- Barbour A G. Does Lyme disease occur in the South?: a survey of emerging tick-borne infections in the region. Am J Med Sci. 1996;311:34–40. - PubMed
-
- Barbour A G, Fish D. The biological and social phenomenon of Lyme disease. Science. 1993;260:1610–1616. - PubMed
Publication types
MeSH terms
Substances
Grants and funding
LinkOut - more resources
Full Text Sources
