Immunohistochemical labeling for dpc4 mirrors genetic status in pancreatic adenocarcinomas : a new marker of DPC4 inactivation
- PMID: 10623651
- PMCID: PMC1868651
- DOI: 10.1016/S0002-9440(10)64703-7
Immunohistochemical labeling for dpc4 mirrors genetic status in pancreatic adenocarcinomas : a new marker of DPC4 inactivation
Abstract
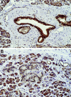
DPC4 (MADH4, SMAD4) is a tumor suppressor gene inactivated by allelic loss in approximately 55% of pancreatic adenocarcinomas. Unfortunately, it can be technically very difficult to detect the inactivation of DPC4 at the genetic level because genetic analyses require the microdissection of relatively pure samples of neoplastic and normal tissues. This is especially true for pancreatic adenocarcinomas, which elicit vigorous, non-neoplastic, stromal responses. Immunohistochemical labeling can overcome this hurdle because it preserves morphological information. We therefore studied the expression of the DPC4 gene product in 46 cancers, including 5 cancer cell lines by Western blot analysis and 41 primary periampullary adenocarcinomas by immunohistochemistry. The status of exons 1-11 of the DPC4 gene in all 46 of the cancers had been previously characterized at the molecular level, allowing us to correlate Dpc4 expression directly with gene status. Three cell lines had wild-type DPC4 genes, and Dpc4 expression was detected in all three by Western blot. The two cell lines with homozygously deleted DPC4 genes did not show Dpc4 protein by Western blot analysis. Immunohistochemical labeling revealed that 17 (94%) of the 18 primary adenocarcinomas with wild-type DPC4 genes expressed the DPC4 gene product, whereas 21 (91%) of 23 primary adenocarcinomas with inactivated DPC4 genes did not. Cases in which there was discordance between the immunohistochemical labeling and the genetic analyses were reanalyzed genetically, and we identified a deletion in exon 0 of DPC4 in one of these cases. This is the first report of a mutation in exon 0 of DPC4 in a pancreatic cancer. The contrast between the strong expression of Dpc4 by normal tissues and the loss of expression in the carcinomas was highlighted in several cases in which an infiltrating cancer was identified growing into a benign duct. These observations suggest that immunohistochemical labeling for the DPC4 gene product is an extremely sensitive and specific marker for DPC4 gene alterations in pancreatic carcinomas. The sensitivity and specificity of immunohistochemical labeling for Dpc4 in other periampullary carcinomas has yet to be determined.
Figures



References
-
- Hahn SA, Schutte M, Hoque ATMS, Moskaluk CA, da Costa LT, Rozenblum E, Weinstein CL, Fischer A, Yeo CJ, Hruban RH, Kern SE: DPC4, a candidate tumor suppressor gene at human chromosome 18q21.1. Science 1996, 271:350-353 - PubMed
-
- Hahn SA, Hoque ATMS, Moskaluk CA, da Costa LT, Schutte M, Rozenblum E, Seymour A, Weinstein CL, Yeo CJ, Hruban RH, Kern SE: Homozygous deletion map at 18q21.1 in pancreatic cancer. Cancer Res 1996, 56:490-494 - PubMed
-
- Schutte M, Hruban RH, Hedrick L, Cho KR, Nadasdy GM, Weinstein CL, Bova GS, Isaacs WB, Cairns P, Nawroz H, Sidransky D, Casero RA, Meltzer PS, Hahn SA, Kern SE: DPC4 gene in various tumor types. Cancer Res 1996, 56:2527-2530 - PubMed
-
- Rozenblum E, Schutte M, Goggins M, Hahn SA, Panzer S, Zahurak M, Goodman SN, Sohn TA, Hruban RH, Yeo CJ, Kern SE: Tumor-suppressive pathways in pancreatic carcinoma. Cancer Res 1997, 57:1731-1734 - PubMed
-
- Hruban RH, Offerhaus GJA, Kern SE, Goggins M, Wilentz RE, Yeo CJ: Tumor-suppressor genes in pancreatic cancer. J Hepatobiliary Pancreat Surg 1998, 5:383-391 - PubMed
Publication types
MeSH terms
Substances
Grants and funding
LinkOut - more resources
Full Text Sources
Other Literature Sources
Medical
Miscellaneous