Skip to main page content
U.S. flag

An official website of the United States government

Dot gov

The .gov means it’s official.
Federal government websites often end in .gov or .mil. Before sharing sensitive information, make sure you’re on a federal government site.

Https

The site is secure.
The https:// ensures that you are connecting to the official website and that any information you provide is encrypted and transmitted securely.

Access keys NCBI Homepage MyNCBI Homepage Main Content Main Navigation
. 2000 Feb;20(4):1291-8.
doi: 10.1128/MCB.20.4.1291-1298.2000.

The p21(WAF1/CIP1) promoter is methylated in Rat-1 cells: stable restoration of p53-dependent p21(WAF1/CIP1) expression after transfection of a genomic clone containing the p21(WAF1/CIP1) gene

Affiliations

The p21(WAF1/CIP1) promoter is methylated in Rat-1 cells: stable restoration of p53-dependent p21(WAF1/CIP1) expression after transfection of a genomic clone containing the p21(WAF1/CIP1) gene

L A Allan et al. Mol Cell Biol. 2000 Feb.

Abstract

Rat-1 cells are used in many studies on transformation, cell cycle, and apoptosis. Whereas UV treatment of Rat-1 cells results in apoptosis, X-ray treatment does not induce either apoptosis or a cell cycle block. X-ray treatment of Rat-1 cells results in both an increase of p53 protein and expression of the p53-inducible gene MDM2 but not the protein or mRNA of the p53-inducible p21(WAF1/CIP1) gene, which in other cells plays an important role in p53-mediated cell cycle block. The lack of p21(WAF1/CIP1) expression appears to be the result of hypermethylation of the p21(WAF1/CIP1) promoter region, as p21(WAF1/CIP1) protein expression could be induced by growth of Rat-1 cells in the presence of 5-aza-2-deoxycytidine. Furthermore, sequence analysis of bisulfite-treated DNA demonstrated extensive methylation of cytosine residues in CpG dinucleotides in a CpG-rich island in the promoter region of the p21(WAF1/CIP1) gene. Stable X-ray-induced p53-dependent p21(WAF1/CIP1) expression and cell cycle block were restored to a Rat-1 clone after transfection with a P1 artificial chromosome (PAC) DNA clone containing a rat genomic copy of the p21(WAF1/CIP1) gene. The absence of expression of the p21(WAF1/CIP1) gene may contribute to the suitability of Rat-1 cells for transformation, cell cycle, and apoptosis studies.

PubMed Disclaimer

Figures

FIG. 1
FIG. 1
Effect of X rays on viability and cell cycle profile in Rat-1 cells. (A) X-ray (12 Gy) treatment does not cause apoptosis in Rat-1 cells, shown by the absence of cells with a sub-G1 content (M1). In contrast, UVC treatment (20 J/m2) results in apoptosis, with more than 30% of the cells exhibiting a sub-G1 DNA content. (B) X-ray treatment has little effect on the cell cycle distribution in Rat-1 cells at either 7 or 24 h after irradiation. Although there appears to be a minor accumulation in G2, there is no G1 arrest and cells continue to cycle into S phase.
FIG. 2
FIG. 2
p53 expression and transcriptional activity after X irradiation. (A) X-ray (12 Gy) treatment stabilized p53 in Rat-1 cells 24 h after irradiation, although to a lesser extent than UVC. (B) Rat-1 cells fail to express p21WAF1/CIP1 protein after X irradiation or UVC treatment, whereas REF52 cells, which arrest in G1 after X irradiation, exhibit increasing induction of p21WAF1/CIP1 at 2 and 24 h postirradiation, respectively. (C) X-ray (12 Gy) treatment induces MDM2 in Rat-1 cells in a p53-dependent manner, as shown by the abrogation of this response by expression of a dominant negative p53 in Rat-1-DN10 cells. Sizes are indicated in kilodaltons.
FIG. 3
FIG. 3
Northern blot analysis of MDM2 mRNA after X-ray treatment. X-ray (12 Gy) treatment induces only very low levels of p21WAF1/CIP1 mRNA in Rat-1 cells at either 2 or 24 h postirradiation. This induced level reflects the background level of expression observed in REF52 cells, which show highly elevated levels of p21WAF1/CIP1 mRNA after X irradiation.
FIG. 4
FIG. 4
Quantitation of CpG frequency (observed/expected [obs/exp]) in a contig encompassing the promoter, exon 1, and the 5′ end of intron 1 of the rat p21WAF1/CIP1 gene. CpG frequency was computed over 800-bp intervals and shows a putative CpG island spanning bp 4800 to 7201 comprising the last 20 bp of exon 1 (located in the interval from bp 4800 to 5600) and the 5′ end of intron 1.
FIG. 5
FIG. 5
Effect of 5-AzaC treatment on p21WAF1/CIP1 expression in Rat-1 cells. Incubation of Rat-1 cells with 5-AzaC for 4 days resulted in high levels of p21WAF1/CIP1. X irradiation of 5-AzaC-treated Rat-1 cells showed little increase in p21WAF1/CIP1 expression.
FIG. 6
FIG. 6
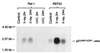
Bisulfite sequencing of part of the putative CpG island in the p21WAF1/CIP1 gene in Rat-1 cells. A 120-bp sequence containing 15 CpGs out of a total of 330 bp and 37 CpGs analyzed shown in a comparison of bisulfite-treated Rat-1 DNA (Rat-1.bs, middle sequence) with bisulfite-treated REF52 DNA (REF52.bs, lower sequence) and untreated DNA (upper sequence). Rat-1 cells contain methylated cytosine (detected as cytosine) at all the CpG dinucleotides analyzed, while all other cytosines were unmethylated (detected as thymine [boxed]). Bisulfite-treated REF52 exhibited only unmethylated cytosines (detected as thymine [boxed]) even at the CpG dinucleotides in this region.
FIG. 7
FIG. 7
p21WAF1/CIP1 expression and a G1 arrest are restored after X-ray treatment of P13.5 cells, a clone of Rat-1 cells stably transfected with a 120-kb PAC containing a genomic copy of the rat p21WAF1/CIP1 gene. (A) A low level of background p21WAF1/CIP1 expression was observed in P13.5 cells which is significantly increased after X irradiation (12 Gy). Sizes are indicated in kilodaltons. (B) P13.5 cells exhibit a G1 arrest 7 h after X irradiation (12 Gy).
FIG. 8
FIG. 8
Expression and activity of p21WAF1/CIP1 in P13.5 cells are p53 dependent. (A) Induction of p21WAF1/CIP1 expression by X irradiation (12 Gy) in P13.5 cells is abrogated by expression of dominant negative p53 (P13.5-DN.A1 cells). Sizes are indicated in kilodaltons. (B) The cell cycle arrest exhibited by parental P13.5 cells at 7 h after X irradiation (12 Gy) is absent in P13.5-DN.A1 cells.

References

    1. Allan L A, Fried M. p53-dependent apoptosis or growth arrest induced by different forms of radiation in U2OS cells: p21WAF1/CIP1 repression in UV induced apoptosis. Oncogene. 1999;18:5403–5412. - PubMed
    1. Balbin M, Hannon G J, Pendas A M, Ferrando A A, Vizoso F, Fueyo A, Lopez-Otin C. Functional analysis of a p21WAF1,CIP1,SDI1 mutant (Arg94→Trp) identified in a human breast carcinoma. Evidence that the mutation impairs the ability of p21 to inhibit cyclin-dependent kinases. J Biol Chem. 1996;271:15782–15786. - PubMed
    1. Bissonnette N, Hunting D J. p21-induced cycle arrest in G1 protects cells from apoptosis induced by UV-irradiation or RNA polymerase II blockage. Oncogene. 1998;16:3461–3469. - PubMed
    1. Brugarolas J, Chandrasekaran C, Gordon J I, Beach D, Jacks T, Hannon G J. Radiation-induced cell cycle arrest compromised by p21 deficiency. Nature. 1995;377:552–557. - PubMed
    1. Canman C E, Kastan M B. Small contribution of G1 checkpoint control manipulation to modulation of p53-mediated apoptosis. Oncogene. 1998;16:957–966. - PubMed

MeSH terms