Expression and function of wingless and frizzled homologs in rheumatoid arthritis
- PMID: 10688908
- PMCID: PMC16008
- DOI: 10.1073/pnas.050574297
Expression and function of wingless and frizzled homologs in rheumatoid arthritis
Abstract
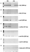
Rheumatoid arthritis (RA) is accompanied by synovial inflammation, proliferation, and cartilage destruction. The reasons the activation of synovial fibroblasts often persists despite antiinflammatory therapy are not known. One possibility is that the synovial membrane becomes gradually repopulated with immature mesenchymal and bone marrow cells with altered properties. To explore this hypothesis, we have investigated the expression in RA synovial tissues of various embryonic growth factors from the wingless (wnt) and frizzled (fz) families, which have been implicated in cell-fate determination in both bone marrow progenitors and limb-bud mesenchyme. Reverse transcriptase-PCR analysis revealed expression of five wnt (wnt1, 5a, 10b, 11, and 13) and three fz (fz2, 5, and 7) isoforms in RA synovial tissues. Osteoarthritis synovial tissues expressed much less wnt5a and fz5. Northern blotting confirmed the overexpression of wnt5a and fz5 in RA synovial tissues, in comparison to a panel of normal adult tissues. Compared with normal synovial fibroblasts, cultured RA fibroblast-like synoviocytes expressed higher levels of IL-6, IL-8, and IL-15. Transfection of normal fibroblasts with a wnt5a expression vector reproduced this pattern of cytokine expression and stimulated IL-15 secretion. These results suggest that the unusual phenotypic properties of RA fibroblasts may be attributable partly to their replacement with primitive fibroblast-like synoviocytes with characteristics of immature bone marrow and mesenchymal cells. Clear delineation of the signaling pathway(s) initiated by the wnt5a/fz5 ligand-receptor pair in the RA synovium may yield new targets for therapeutic intervention.
Figures





References
-
- Koch A E. Arthritis Rheum. 1998;41:951–962. - PubMed
-
- Goronzy J J, Zettl A, Weyand C M. Int Rev Immunol. 1998;17:339–363. - PubMed
-
- Ohba T, Takase Y, Ohhara M, Kasukawa R. J Rheumatol. 1996;23:1505–1511. - PubMed
-
- Bresnihan B. J Rheumatol. 1999;26:717–719. - PubMed
-
- Monier S, Reme T, Cognot C, Gao Q L, Travaglio-Encinoza A, Cuchacovich M, Gaillard J-P, Jorgensen C, Sany J, Dupuy D'Angeac A, et al. Clin Exp Rheumatol. 1994;12:595–602. - PubMed
Publication types
MeSH terms
Substances
Grants and funding
LinkOut - more resources
Full Text Sources
Other Literature Sources
Medical
Molecular Biology Databases