Molecular identification and epidemiological tracing of Pasteurella multocida meningitis in a baby
- PMID: 10699029
- PMCID: PMC86385
- DOI: 10.1128/JCM.38.3.1235-1237.2000
Molecular identification and epidemiological tracing of Pasteurella multocida meningitis in a baby
Abstract
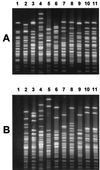
We report a case of Pasteurella multocida meningitis in a 1-month-old baby exposed to close contact with two dogs and a cat but without any known history of injury by these animals. 16S rRNA gene sequencing of the isolate from the baby allowed identification at the subspecies level and pointed to the cat as a possible source of infection. Molecular typing of Pasteurella isolates from the animals, from the baby, and from unrelated animals clearly confirmed that the cat harbored the same P. multocida subsp. septica strain on its tonsils as the one isolated from the cerebrospinal fluid of the baby. This case stresses the necessity of informing susceptible hosts at risk of contracting zoonotic agents about some basic hygiene rules when keeping pets. In addition, this study illustrates the usefulness of molecular methods for identification and epidemiological tracing of Pasteurella isolates.
Figures
References
-
- Altschul S F, Gish W, Miller W, Myers E W, Lipman D J. Basic local alignment search tool. J Mol Biol. 1990;215:403–410. - PubMed
-
- Andersson S, Larinkari U, Vartia T, Forsblom B, Saarela M, Rautio M, Seppälä I, Schildt R, Kivijärvi A, Haavisto H, Jousimies-Somer H. Fatal congenital pneumonia caused by cat-derived Pasteurella multocida. Pediatr Infect Dis J. 1994;13:74–75. - PubMed
-
- Armengol S, Mesalles E, Domingo C, Samso E, Manterolas J. A new case of meningitis due to Pasteurella multocida. Rev Infect Dis. 1991;13:1254. - PubMed
-
- Biberstein E L, Jang S S, Kass P H, Hirsch D C. Distribution of indole-producing urease-negative pasteurellas in animals. J Vet Diagn Investig. 1991;3:319–323. - PubMed
-
- Bisgaard M, Falsen E. Reinvestigation and reclassification of a collection of 56 human isolates of Pasteurellaceae. Acta Pathol Microbiol Immunol Scand. 1986;94:215–222. - PubMed
Publication types
MeSH terms
Substances
LinkOut - more resources
Full Text Sources
Molecular Biology Databases
Miscellaneous
