Early MR features of hypoxic-ischemic brain injury in neonates with periventricular densities on sonograms
- PMID: 10815660
- PMCID: PMC7976754
Early MR features of hypoxic-ischemic brain injury in neonates with periventricular densities on sonograms
Abstract
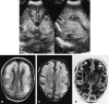
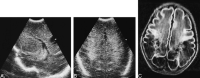
Background and purpose: In the early 1980s, diagnosing periventricular leukomalacia (PVL) in neonates by using cranial sonography was possible for the first time. Our purpose was to investigate the possibility of diagnosing PVL in the acute stage by using MR imaging. We evaluated early MR features of hypoxic-ischemic brain injury in neonates with periventricular densities (flares) on cranial sonograms to determine the added value of MR imaging over sonography alone for early diagnosis of brain damage.
Methods: In a prospective study, infants who showed flares and/or cysts on sonograms underwent MR imaging during the (sub)acute stage.
Results: Fifty infants were classified according to the highest sonographic grade up to the day of MR imaging: 23 infants had sonographic grade 1 (flares < 1 week), 15 had sonographic grade 2 (flares > or = 1 week), four had sonographic grade 3 (small localized cysts), and eight had sonographic grade 4 (extensive periventricular cysts); none had sonographic grade 5 (multicystic leukomalacia) on the day of MR imaging. Overall, the additional information provided by MR imaging (over sonography alone) consisted of the depiction of hemorrhagic lesions in 64% of the infants. Extent and severity of the hemorrhages varied from isolated punctate lesions to extensive hemorrhages throughout the white matter; the latter were followed by cystic degeneration at autopsy in two infants. In nine of the 12 infants with cystic PVL, MR images showed more numerous or more extensive cysts. In addition, in two infants, MR images showed cysts not present on sonograms. In 32% of the infants, MR imaging provided no additional information; in these children, all but one had flares on sonograms whereas MR images showed no abnormalities or a zone of mild periventricular signal change.
Conclusion: MR imaging can depict the precise site and extent of hypoxic-ischemic brain injury at an earlier stage and allows a wider differentiation of lesions as compared with sonography alone. Hemorrhagic PVL is considered to be rare, but was present in 64% of our study population.
Figures








References
-
- Hill A, Melson GL, Clark HB, Volpe JJ. Hemorrhagic periventricular leukomalacia: diagnosis by real time ultrasound and correlation with autopsy findings. Pediatrics 1982;69:282-284 - PubMed
-
- De Vries LS, Eken P, Dubowitz LMS. The spectrum of leukomalacia using cranial ultrasound. Behav Brain Res 1992;49:1-6 - PubMed
-
- Hope PL, Gould SJ, Howard S, Hamilton PA, Costello AM de L, Reynolds EOR. Precision of ultrasound diagnosis of pathologically verified lesions in the brains of very preterm infants. Dev Med Child Neurol 1988;30:457-471 - PubMed
-
- Eken P, Jansen GH, Groenendaal F, Rademaker KJ, De Vries LS. Intracranial lesions in the fullterm infant with hypoxic ischaemic encephalopathy: ultrasound and autopsy correlation. Neuropediatrics 1994;25:301-307 - PubMed
Publication types
MeSH terms
LinkOut - more resources
Full Text Sources
Medical