Significant detection of circulating cancer cells in the blood by reverse transcriptase-polymerase chain reaction during colorectal cancer resection
- PMID: 10862196
- PMCID: PMC1421108
- DOI: 10.1097/00000658-200007000-00009
Significant detection of circulating cancer cells in the blood by reverse transcriptase-polymerase chain reaction during colorectal cancer resection
Abstract
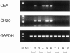
Objective: To analyze the clinical value of reverse transcriptase-polymerase chain reaction (RT-PCR) recognition of mRNA coding for carcinoembryonic antigen (CEA) and cytokeratin 20 in blood obtained from patients with colorectal carcinoma.
Summary background data: RT-PCR has been applied to identify very small numbers of tumor cells. Molecular detection is thought to provide useful information for the clinical management of perioperative prophylaxis of tumor cell implantation or postoperative adjuvant therapy regimens.
Methods: From 52 patients with colorectal cancer, peripheral blood specimens were obtained before and after surgical manipulation; also, a specimen of mesenteric venous blood draining the colorectal tumor was obtained just before tumor resection. Using cDNA primers specific for CEA and cytokeratin 20, RT-PCR was performed to detect tumor cells. Subsequently, the 52 patients were divided into two groups, a group positive for both CEA and cytokeratin 20 and a group negative for CEA, cytokeratin 20, or both.
Results: On the basis of 450 days of follow-up data, the PCR-positive group had a significantly shorter overall survival than the PCR-negative group only with the mesenteric venous blood specimens. Multivariate analysis indicated that detection of the simultaneous presence of CEA and cytokeratin 20 mRNA in mesenteric venous blood is a potent prognostic factor independent of the traditional pathologic parameters. Of the eight peripheral blood specimens found to be PCR-positive, five showed a change of PCR from negative to positive during surgery, and liver metastases developed 11 months later in one of these five patients.
Conclusions: Molecular detection of both CEA and cytokeratin 20 mRNA in mesenteric venous blood may be of prognostic value for patients with colorectal carcinoma. Molecular detection in the peripheral blood at surgery suggests that hematogenic tumor cell dissemination is a common and early event and that surgical manipulation enhances this release of tumor cells into the circulation.
Figures





References
-
- Goldberg RM, Fleming TR, Tangen CM, et al. Surgery for recurrent colon cancer: strategies for identifying resectable recurrence and success rates after resection. Eastern Cooperative Oncology Group, the North Central Cancer Treatment Group, and the Southwest Oncology Group. Ann Intern Med 1998; 129:27–35. - PubMed
-
- Japanese Research Society for Cancer of the Colon and Rectum. Multi-Institutional Registry of Large Bowel Cancer in Japan. Vol 11. Osaka; 1995.
-
- Fisher ER, Turnbull RB Jr. The cytologic demonstration and significance of tumor cells in the mesenteric venous blood in patients with colorectal carcinoma. Surg Gynecol Obstet 1955; 100:102–108. - PubMed
-
- Griffiths JD, McKinna JA, Rowbotham HD, et al. Carcinoma of the colon and rectum: circulating malignant cells and five-year survival. Cancer 1973; 31:226–236. - PubMed
-
- Kashitsuka T. Clinical and experimental studies on metachronous liver metastasis of colorectal cancer II: Tumor releasing effects by intraoperative manipulation of human colorectal cancer [in Japanese]. Acta Schol Med Univ Gifu 1994; 42:463–467.
MeSH terms
Substances
LinkOut - more resources
Full Text Sources
Other Literature Sources
Medical