Genetic control of resistance to experimental infection with virulent Mycobacterium tuberculosis
- PMID: 10890913
- PMCID: PMC26987
- DOI: 10.1073/pnas.150227197
Genetic control of resistance to experimental infection with virulent Mycobacterium tuberculosis
Abstract
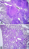
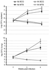
Over 2 billion people are estimated to be infected with virulent Mycobacterium tuberculosis, yet fewer than 10% progress to clinical tuberculosis within their lifetime. Twin studies and variations in the outcome of tuberculosis infection after exposure to similar environmental risks suggest genetic heterogeneity among individuals in their susceptibility to disease. In a mouse model of tuberculosis, we have established that resistance and susceptibility to virulent M. tuberculosis is a complex genetic trait. A new locus with a major effect on tuberculosis susceptibility, designated sst1 (susceptibility to tuberculosis 1), was mapped to a 9-centimorgan (cM) interval on mouse chromosome 1. It is located 10-19 cM distal to a previously identified gene, Nramp1, that controls the innate resistance of mice to the attenuated bacillus Calmette-Guérin vaccine strain. The phenotypic expression of the newly identified locus is distinct from that of Nramp1 in that sst1 controls progression of tuberculosis infection in a lung-specific manner. Mice segregating at the sst1 locus exhibit marked differences in the growth rates of virulent tubercle bacilli in the lungs. Lung lesions in congenic sst1-susceptible mice are characterized by extensive necrosis and unrestricted extracellular multiplication of virulent mycobacteria, whereas sst1-resistant mice develop interstitial granulomas and effectively control multiplication of the bacilli. The resistant allele of sst1, although powerful in controlling infection, is not sufficient to confer full protection against virulent M. tuberculosis, indicating that other genes located outside of the sst1 locus are likely also to be important for controlling tuberculosis infection.
Figures
References
Publication types
MeSH terms
Grants and funding
LinkOut - more resources
Full Text Sources
Other Literature Sources
Medical
Molecular Biology Databases
