Myocarditis mimicking acute myocardial infarction: role of endomyocardial biopsy in the differential diagnosis
- PMID: 10956283
- PMCID: PMC1760950
- DOI: 10.1136/heart.84.3.245
Myocarditis mimicking acute myocardial infarction: role of endomyocardial biopsy in the differential diagnosis
Abstract
Objective: To test the hypothesis, using endomyocardial biopsies, that unexplained cases of apparent acute myocardial infarction were caused by myocarditis.
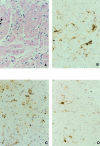
Material: Between 1992 and 1998, 12 patients were admitted to the coronary care unit with severe chest pain, ST segment elevation, increased serum creatine kinase and MB isoenzyme, and with wall motion abnormalities on echocardiogram highly suggestive of acute myocardial infarction. These patients were further investigated by endomyocardial biopsy, as their coronary angiograms were normal. A diagnosis of myocarditis was made according to the Dallas criteria. A panel of antibodies was used for immunohistochemical characterisation of inflammatory cell infiltrate. Polymerase chain reaction (PCR) was used to detect viral genomes in seven cases.
Results: Haematoxylin and eosin staining of the endomyocardial biopsy showed active myocarditis in six patients and borderline myocarditis in one. Immunohistochemistry was positive for inflammatory cell infiltrates in 11 patients, including all the seven who were positive on haematoxylin and eosin staining according to the Dallas criteria. Only one patient had no evidence of inflammation. PCR was positive in two patients, both for Epstein-Barr virus. Follow up showed complete resolution of echocardiographic abnormalities in all patients except one.
Conclusions: Myocarditis can mimic acute myocardial infarction in patients with angiographically normal coronary arteries, leading to errors of treatment. In patients with apparent myocardial infarction and a normal coronary angiogram, endomyocardial biopsy may help in the diagnosis of myocarditis. The sensitivity of endomyocardial biopsy was enhanced by using immunohistochemical and molecular biological techniques.
Figures




References
Publication types
MeSH terms
Substances
LinkOut - more resources
Full Text Sources
Other Literature Sources
Medical
Miscellaneous