Cerebellar cortical dysplasia: MR findings in a complex entity
- PMID: 11003288
- PMCID: PMC7974055
Cerebellar cortical dysplasia: MR findings in a complex entity
Abstract
Background and purpose: MR imaging findings of cerebellar cortical dysplasia have been described as a new cerebellar malformation. The purpose of this study was to assess the association of cerebellar cortical dysplasia with other cerebral malformations.
Methods: We retrospectively reviewed 46 MR examinations of patients presenting with developmental delay, hypotonia, and facial deformities to identify abnormal folia or fissures or both within cerebellar hemispheres or vermis suggesting cortical dysplasia.
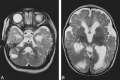
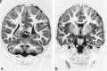
Results: Cerebellar cortical dysplasia was diagnosed in 17 patients. In two patients, it was isolated. In the remaining 15 patients, the malformation was associated with vermian malformation (n=11), cerebral cortical dysplasias (n=8), dysplasia of corpus callosum (n=6), and heterotopia (n=5). A widespread malformation of the posterior fossa was observed in eight patients (Dandy-Walker, Chiari II and III, and hypoplasia of brain stem). One patient with hypertrophied cerebellar hemisphere had minor enlargement of the right cerebral hemisphere and lateral ventricle. He also had nodular heterotopia, suggesting unilateral megalencephaly.
Conclusion: Our study suggests that cerebellar cortical dysplasias are common in cases with more widespread cerebral malformations. Technical progress providing high-quality tridimensional MR imaging of the cerebellum may explain its recent descriptions.
Figures







References
-
- Rorke LB, Fogelson MH, Riggs HE. Cerebellar heterotopia in infancy. Dev Med Child Neurol 1968;10:644-650 - PubMed
-
- Yachnis AT, Rorke LB, Trojanowki JQ. Cerebellar dysplasias in humans: Development and possible relationship to glial and primitive neuroectodermal tumors of the cerebellar vermis. J Neuropathol Exp Neurol 1994;53:61-71 - PubMed
-
- Jay V. Coexistence of cerebellar primitive neuroectodermal tumor and cerebellar dysplasia: case report. Pediatr Pathol Lab Med 1996;16:837-843 - PubMed
-
- Friede RL. Developmental Neuropathology. 2nd ed. Berlin Heidelberg New York: Springer 1989;361-371
MeSH terms
LinkOut - more resources
Full Text Sources
Medical