Expression of the two major envelope proteins of equine arteritis virus as a heterodimer is necessary for induction of neutralizing antibodies in mice immunized with recombinant Venezuelan equine encephalitis virus replicon particles
- PMID: 11044106
- PMCID: PMC110936
- DOI: 10.1128/jvi.74.22.10623-10630.2000
Expression of the two major envelope proteins of equine arteritis virus as a heterodimer is necessary for induction of neutralizing antibodies in mice immunized with recombinant Venezuelan equine encephalitis virus replicon particles
Abstract
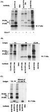
RNA replicon particles derived from a vaccine strain of Venezuelan equine encephalitis virus (VEE) were used as a vector for expression of the major envelope proteins (G(L) and M) of equine arteritis virus (EAV), both individually and in heterodimer form (G(L)/M). Open reading frame 5 (ORF5) encodes the G(L) protein, which expresses the known neutralizing determinants of EAV (U. B. R. Balasuriya, J. F. Patton, P. V. Rossitto, P. J. Timoney, W. H. McCollum, and N. J. MacLachlan, Virology 232:114-128, 1997). ORF5 and ORF6 (which encodes the M protein) of EAV were cloned into two different VEE replicon vectors that contained either one or two 26S subgenomic mRNA promoters. These replicon RNAs were packaged into VEE replicon particles by VEE capsid protein and glycoproteins supplied in trans in cells that were coelectroporated with replicon and helper RNAs. The immunogenicity of individual replicon particle preparations (pVR21-G(L), pVR21-M, and pVR100-G(L)/M) in BALB/c mice was determined. All mice developed antibodies against the recombinant proteins with which they were immunized, but only the mice inoculated with replicon particles expressing the G(L)/M heterodimer developed antibodies that neutralize EAV. The data further confirmed that authentic posttranslational modification and conformational maturation of the recombinant G(L) protein occur only in the presence of the M protein and that this interaction is necessary for induction of neutralizing antibodies.
Figures




References
-
- Balasuriya U B R. Molecular characterization of neutralization determinants and phylogenetic analysis of open reading frame 5 (ORF5) of equine arteritis virus. Ph.D. dissertation. University of California, Davis; 1996.
-
- Balasuriya U B R, MacLachlan N J, de Vries A A F, Rossitto P V, Rottier P J M. Identification of a neutralization site in the major envelope glycoprotein (GL) of equine arteritis virus. Virology. 1995;207:518–527. - PubMed
-
- Balasuriya U B R, Patton J F, Rossitto P V, Timoney P J, McCollum W H, MacLachlan N J. Neutralization determinants of laboratory strains and field isolates of equine arteritis virus: identification of four neutralization sites in the amino-terminal ectodomain of the GL envelope glycoprotein. Virology. 1997;232:114–128. - PubMed
-
- Balasuriya U B R, Rossitto P V, DeMaula C D, MacLachlan N J. A 29K envelope glycoprotein of equine arteritis virus expresses neutralization determinants recognized by murine monoclonal antibodies. J Gen Virol. 1993;74:2525–2529. - PubMed
-
- Balasuriya U B R, Snijder E J, van Dinten L C, Heidner H W, Wilson W D, Hedges J F, Hullinger P J, MacLachlan N J. Equine arteritis virus derived from an infectious cDNA clone is attenuated and genetically stable in infected stallions. Virology. 1999;260:201–208. - PubMed
Publication types
MeSH terms
Substances
LinkOut - more resources
Full Text Sources
Other Literature Sources