Ewing's sarcoma of the head and neck
- PMID: 11120553
- PMCID: PMC11175551
- DOI: 10.1590/s1516-31802000000600010
Ewing's sarcoma of the head and neck
Abstract
Context: Ewing's sarcoma is a rare neoplasm, which usually arises in long bones of the limbs and in flat bones of the pelvis, with the involvement of head and neck bones being very unusual.
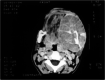
Case report: a case of Ewing's sarcoma occurring in the mandible of a 35-year-old female. Pain and swelling of the tumor were the main complaints. The early hypothesis was an undifferentiated malignant neoplasm, possibly a sarcoma. The CT scan depicted an expansive lesion, encapsulated, with septa and characteristics of soft tissue, involving the left side of the mandible and extending to the surrounding tissues. The patient underwent surgical excision of the lesion, the definitive diagnosis of Ewing's sarcoma was established, and the patient commenced on radiotherapy.
CONTEXTO:: O Sarcoma de Ewing é uma doença que geralmente acomete os ossos longos e a pelve, sendo rara a ocorrência em cabeça e pescoço.
RELATO DE CASO:: Caso de Sarcoma de Ewing começando na mandíbula em uma paciente de 35 anos, sendo a tumoração e a dor local os principais sintomas referidos. O diagnóstico inicial foi de neoplasia maligna indiferenciada, sugestivo de sarcoma e a tomografia computadorizada mostrou lesão expansiva com características de tumor de partes moles, septada e encapsulada, acometendo a mandíbula esquerda e apresentando extensão para as partes moles adjacentes. O tratamento realizado foi a remoção cirúrgica da lesão, complementado com radioterapia pós-operatória. O diagnóstico definitivo foi de Sarcoma de Ewing.
Conflict of interest statement
Figures
References
-
- Prindull G, Willert HG, Notter G. Local therapy of rhabdomyosarcoma, osteosarcoma and Ewing's Sarcoma of children and adolescents. Eur J Pediatr. 1985;144(2):120–124. - PubMed
-
- Siegal P, Oliver WR, Reinus WR, et al. Primary Ewing's sarcoma involving the bones of the head and neck. Cancer. 1987;60(11):2829–2840. - PubMed
-
- Sneige N, Batsaki JG. Ewing's sarcoma of bone and soft tissues. Ann Otol Rhinol Laryngol. 1989;98(5 Pt 1):400–402. - PubMed
-
- Yalcin S, Turoglu HT, Ozdamar S, Sadikoglu Y, Gurbuzer B, Yenici O. Ewing's sarcoma of the mandible. Oral Surg Oral Med Oral Pathol. 1993;76(3):362–367. - PubMed
Publication types
MeSH terms
LinkOut - more resources
Full Text Sources
