Rapid CD4(+) T-cell loss induced by human immunodeficiency virus type 1(NC) in uninfected and previously infected chimpanzees
- PMID: 11152525
- PMCID: PMC114058
- DOI: 10.1128/JVI.75.3.1533-1539.2001
Rapid CD4(+) T-cell loss induced by human immunodeficiency virus type 1(NC) in uninfected and previously infected chimpanzees
Erratum in
- J Virol 2001 Jun;75(11):5441
Abstract
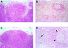
To investigate the pathogenicity of a virus originating in a chimpanzee with AIDS (C499), two chimpanzees were inoculated with a plasma-derived isolate termed human immunodeficiency virus type 1(NC) (HIV-1(NC)). A previously uninfected chimpanzee, C534, experienced rapid peripheral CD4(+) T-cell loss to fewer than 26 cells/microl by 14 weeks after infection. CD4(+) T-cell depletion was associated with high plasma HIV-1 loads but a low virus burden in the peripheral lymph node. The second chimpanzee, C459, infected 13 years previously with HIV-1(LAV), experienced a more protracted course of peripheral CD4(+) T-cell loss after HIV-1(NC) inoculation, resulting in fewer than 200 cells/microl by 96 weeks postinoculation. The quantities of viral RNA in the plasma and peripheral lymph node from C459 were below the lower limits of detection prior to inoculation with HIV-1(NC) but were significantly and persistently increased after superinfection, with HIV-1(NC) representing the predominant viral genotype. These results show that viruses derived from C499 are more pathogenic for chimpanzees than any other HIV-1 isolates described to date.
Figures
 
              
              
              
              
                
                
                 
              
              
              
              
                
                
                 
              
              
              
              
                
                
                 
              
              
              
              
                
                
                References
- 
    - Alter H J, Eichberg J W, Masur H, Saxinger W C, Gallo R, Macher A M, Lane H C, Fauci A S. Transmission of HTLV-III infection from human plasma to chimpanzees: an animal model for AIDS. Science. 1984;226:549–552. - PubMed
 
- 
    - Bogers W M, Koornstra W H, Dubbes R H, ten Haaft P J, Verstrepen B E, Jhagjhoorsingh S S, Haaksma A G, Niphuis H, Laman J D, Norley S, Schuitemaker H, Goudsmit J, Hunsmann G, Heeney J L, Wigzell H. Characteristics of primary infection of a European human immunodeficiency virus type 1 clade B isolate in chimpanzees. J Gen Virol. 1998;79:2895–2903. - PubMed
 
- 
    - Castro B A, Walker C M, Eichberg J W, Levy J A. Suppression of human immunodeficiency virus replication by CD8+ cells from infected and uninfected chimpanzees. Cell Immunol. 1991;132:246–255. - PubMed
 
- 
    - Connor R I, Montefiori D C, Binley J M, Moore J P, Bonhoeffer S, Gettie A, Fenamore E A, Sheridan K E, Ho D D, Dailey P J, Marx P A. Temporal analyses of virus replication, immune responses, and efficacy in rhesus macaques immunized with a live, attenuated simian immunodeficiency virus vaccine. J Virol. 1998;72:7501–7509. - PMC - PubMed
 
Publication types
MeSH terms
Substances
Grants and funding
LinkOut - more resources
- Full Text Sources
- Medical
- Research Materials
 
        