Skip to main page content
U.S. flag

An official website of the United States government

Dot gov

The .gov means it’s official.
Federal government websites often end in .gov or .mil. Before sharing sensitive information, make sure you’re on a federal government site.

Https

The site is secure.
The https:// ensures that you are connecting to the official website and that any information you provide is encrypted and transmitted securely.

Access keys NCBI Homepage MyNCBI Homepage Main Content Main Navigation
. 2001 Jun 15;15(12):1518-27.
doi: 10.1101/gad.896201.

Terminal proteins essential for the replication of linear plasmids and chromosomes in Streptomyces

Affiliations

Terminal proteins essential for the replication of linear plasmids and chromosomes in Streptomyces

K Bao et al. Genes Dev. .

Abstract

Linear plasmids and chromosomes of the bacterial genus Streptomyces have proteins of unknown characteristics and function linked covalently to their 5' DNA termini. We purified protein attached to the end of the pSLA2 linear plasmid of Streptomyces rochei, determined the N-terminal amino acid sequence, and used this information to clone corresponding genes from a S. rochei cosmid library. Three separate terminal protein genes (here designated as tpgR1, tpgR2, and tpgR3), which map to the S. rochei chromosome and to 100-kb and 206-kb linear plasmids contained in S. rochei, were isolated and found to encode a family of similar but distinct 21-kD proteins. Using tpgR1 to probe a genomic DNA library of Streptomyces lividans ZX7, whose linear chromosome can undergo transition to a circular form, we isolated a S. lividans chromosomal gene (tpgL) that we found specifies a protein closely related to, and functionally interchangeable with, TpgR proteins for pSLA2 maintenance in S. lividans. Mutation of tpgL precluded propagation of the pSLA2 plasmid in a linear form and also prevented propagation of S. lividans cells that contain linear, but not circular, chromosomes, indicating a specific and essential role for tpg genes in linear DNA replication. Surprisingly, Tpg proteins were observed to contain a reverse transcriptase-like domain rather than sequences in common with proteins that attach covalently to the termini of linear DNA replicons.

PubMed Disclaimer

Figures

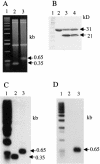
Figure 1
Figure 1
Analysis of components of the pLSA2–TP Complex. (A) Agarose gel electrophoresis of the BglII-digested TP complex. A 1-kb DNA ladder was end-labeled with 32PO4 by T4 kinase after dephosphorylation with calf intestinal alkaline phosphatase (CIP): (lane 1) 32PO4 end-labeled 1-kb DNA ladder; (lane 2) pSLA2 complex digested with BglII and then with proteinase K; (lane 3) pSLA2 complex digested with BglII. Two sets of this gel were identically prepared for Southern blotting and Western blotting. (B) SDS-PAGE of the DNase I-digested complex. The 12% polyacrylamide gel was stained with Coommassie Brilliant Blue R-250. (Lane 1) Protein size marker (BIO-RAD); (lane 2) DNase I alone shown as control; (lanes 3,4) pSLA2 DNA complex isolated from filter-binding assay (see Materials and Methods) and treated with DNase I. The samples shown are duplicates from independent experiments. (C) Southern blot of lanes shown in A using pSLA2 terminal BglII fragments as probe. (D) Western blot of lanes shown in A using anti-TpgR1 antibody.
Figure 2
Figure 2
Alignment of the amino acid sequences of proteins isolated from pSLA2–TP complexes and deduced from the nucleotide sequences of PCR products and tpg genes. Micro1 and Micro2 indicate two N-terminal amino acid sequences from microsequencing of the 21-kD protein shown in Figure 1. PCR1 and PCR2 indicate the two amino acid sequences deduced from sequence of PCR products amplified using total DNA of Streptomyces rochei and degenerate primers corresponding to Micro1 and Micro2. TpgR1: Protein sequence corresponding to the S. rochei tpgR1 gene on cosmid pBC67. TpgR2: Protein sequence corresponding to the S. rochei tpgR2 gene on cosmid pBC66. TpgR3: Protein sequence corresponding to the S. rochei tpgR3 gene on cosmid pBC65. TpgL: Protein sequence corresponding to the tpgL gene of S. lividans ZX7.
Figure 3
Figure 3
Southern blot hybridization analysis of Streptomyces rochei total DNA probed with a mixture of PCR products corresponding to Micro1 and Micro2. (A) Agarose gel electrophoresis. Left panel shows ethidium-bromide-stained gel. Right panel shows the Southern blot. (Lane 1) 1-kb DNA ladder; (lane 2) BamHI-digested total DNA. The positions of bands about 5.7 kb, 6.1 kb, and 9.0 kb in length are indicated relative to a 1-kb DNA ladder. (B) Pulsed-field gel electrophoresis analysis of S. rochei DNA. Left panel shows ethidium-bromide-stained gel where a DNA size marker (yeast chromosomes, lane 1) and S. rochei total DNA (lane 2) were separated. Right panel shows Southern blot of the gel.
Figure 4
Figure 4
Analysis of Streptomyces lividans ZX7 chromosomal DNA showing disruption of tpgL gene. (A) Schematic representation of tpgL gene disruption. tsr, thiostrepton-resistance gene; spc, spectinomycin-resistance gene. (B) ethidium-bromide-stained agarose gel. (Lane 1) 1-kb DNA ladder; (lane 2) ZX7 total DNA; (lane 3) BKKO5 total DNA; (lane 4) pBC130 plasmid DNA. (C) Southern blot of same gel probed with 32P-labeled pBC130. All DNAs were digested with PstI.
Figure 5
Figure 5
Analysis of telomeres and terminal protein in S. lividans ZX7 and its derivatives lacking the tpgL gene. (A) Southern blot of PstI-digested total DNA of ZX7 (lane 2), BKKO5 (lane 3), BKKO6 (lane 4), and BKC1–BKC5 (lanes 59) was hybridized with the 2.6-kb PstI chromosome end fragment of ZX7 (Lin et al. 1993). (Lane 1) The 1-kb DNA ladder. (B) Western blot of DNase I-digested filter-binding assay samples of ZX7 (lane 2), BKKO5 (lane 3), BKKO6 (lane 4), and BKC1–BKC5 (lanes 59) against TpgR1 antibody. (Lane 1) Protein size marker (BIO-RAD).
Figure 6
Figure 6
Plasmid replicons in Streptomyces lividans following tpgL gene disruption. (Top) Schematic map of pSLA2 derivatives pBC104 and pBC114. The difference between these two plasmids is that pBC114 contains a functional tpgL gene; the site of insertion is shown. tsr, thiostrepton-resistance gene; tel, 365-bp pSLA2 telomere end indicated by arrowheads pointing away from the centrally located replication origin of pSLA2. The locations of DraI-cleavage sites are indicated. (Bottom) Analysis of plasmid DNA replication of pSLA2 derivatives in S. lividans ZX7 and in the tpgL disrupted circular chromosomal derivative BKKO5. (chr) Chromosomal DNA; ccc (complete closed circular), linear, and oc (open circular) designate different forms of plasmid DNAs. (Lane 1) The 1-kb DNA-size ladder (Life Technologies); (lane 2) DraI-digested pBC104 plasmid DNA isolated from Escherichia coli; (lane 3) DNA isolated from ZX7 transformants receiving DraI-cleaved pBC104; (lane 4) same DNA as in lane 3, but following treatment with 0.2 N NaOH (30 min at 37°C); (lane 5) DNA isolated from BKKO5 transformants receiving uncleaved pBC104; (lane 6) same DNA as in lane 5 following treatment with 0.2 N NaOH; (lane 7) DraI-digested pBC114; (lane 8) DNA isolated from S. lividans BKKO5 transformants receiving DraI-cleaved pBC114 plasmid DNA isolated from E. coli; (lane 9) same as lane 8 following NaOH treatment; (lane 10) same as lane 8 except that host is ZX7; (lane 11) same as lane 10 following NaOH treatment. Streptomyces linear plasmid DNA was isolated by treatment with proteinase K and SDS (Qin and Cohen 1998, 2000) from BKKO5 and ZX7 transformants and electrophoresed for 12 hr at 30 V in 0.6% agarose gel.

References

    1. Beck J, Nassal M. Sequence- and structure-specific determinants in the interaction between the RNA encapsidation signal and reverse transcriptase of avian hepatitis B virus. J Virol. 1997;71:4971–4980. - PMC - PubMed
    1. Bibb MJ, Ward JM, Hopwood DA. Transformation of plasmid DNA into Streptomyces at high frequency. Nature. 1978;274:398–400. - PubMed
    1. Bibb MJ, Schottel JL, Cohen SN. A DNA cloning system for interspecies gene transfer in antibiotic-producing Streptomyces. Nature. 1980;284:526–531. - PubMed
    1. Bibb MJ, Findlay PR, Johnson MW. The relationship between base composition and codon usage in bacterial genes and its use for the simple and reliable identification of protein-coding sequences. Gene. 1984;30:157–166. - PubMed
    1. Bryan TM, Cech TR. Telomerase and the maintenance of chromosome ends. Curr Opin Cell Biol. 1999;11:318–324. - PubMed

Publication types

LinkOut - more resources