Targeted ablation of the 25-hydroxyvitamin D 1alpha -hydroxylase enzyme: evidence for skeletal, reproductive, and immune dysfunction
- PMID: 11416220
- PMCID: PMC34697
- DOI: 10.1073/pnas.131029498
Targeted ablation of the 25-hydroxyvitamin D 1alpha -hydroxylase enzyme: evidence for skeletal, reproductive, and immune dysfunction
Abstract
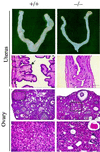
The active form of vitamin D, 1alpha,25-dihydroxyvitamin D [1alpha,25(OH)2D], is synthesized from its precursor 25 hydroxyvitamin D [25(OH)D] via the catalytic action of the 25(OH)D-1alpha-hydroxylase [1alpha(OH)ase] enzyme. Many roles in cell growth and differentiation have been attributed to 1,25(OH)2D, including a central role in calcium homeostasis and skeletal metabolism. To investigate the in vivo functions of 1,25(OH)2D and the molecular basis of its actions, we developed a mouse model deficient in 1alpha(OH)ase by targeted ablation of the hormone-binding and heme-binding domains of the 1alpha(OH)ase gene. After weaning, mice developed hypocalcemia, secondary hyperparathyroidism, retarded growth, and the skeletal abnormalities characteristic of rickets. These abnormalities are similar to those described in humans with the genetic disorder vitamin D dependent rickets type I [VDDR-I; also known as pseudovitamin D-deficiency rickets (PDDR)]. Altered non-collagenous matrix protein expression and reduced numbers of osteoclasts were also observed in bone. Female mutant mice were infertile and exhibited uterine hypoplasia and absent corpora lutea. Furthermore, histologically enlarged lymph nodes in the vicinity of the thyroid gland and a reduction in CD4- and CD8-positive peripheral T lymphocytes were observed. Alopecia, reported in vitamin D receptor (VDR)-deficient mice and in humans with VDDR-II, was not seen. The findings establish a critical role for the 1alpha(OH)ase enzyme in mineral and skeletal homeostasis as well as in female reproduction and also point to an important role in regulating immune function.
Figures




References
-
- Bouillon R, Okamura W H, Norman A W. Endocr Rev. 1995;16:200–257. - PubMed
-
- Studzinski G P, McLane J A, Uskokovic M R. CRC Crit Rev Eukaryotic Gene Exp. 1993;3:279–312. - PubMed
-
- Walters M R. Endocr Rev. 1992;13:719–764. - PubMed
-
- Jones G, Strugnell S A, DeLuca H F. Physiol Rev. 1998;78:1193–1231. - PubMed
-
- Holick M F, Schnoes H K, DeLuca H F, Suda T, Cousins R J. Biochemistry. 1971;10:2799–2804. - PubMed
Publication types
MeSH terms
Substances
LinkOut - more resources
Full Text Sources
Other Literature Sources
Medical
Molecular Biology Databases
Research Materials