Skip to main page content
U.S. flag

An official website of the United States government

Dot gov

The .gov means it’s official.
Federal government websites often end in .gov or .mil. Before sharing sensitive information, make sure you’re on a federal government site.

Https

The site is secure.
The https:// ensures that you are connecting to the official website and that any information you provide is encrypted and transmitted securely.

Access keys NCBI Homepage MyNCBI Homepage Main Content Main Navigation
. 2001 Nov;21(22):7839-51.
doi: 10.1128/MCB.21.22.7839-7851.2001.

A truncation mutant of the 95-kilodalton subunit of transcription factor IIIC reveals asymmetry in Ty3 integration

Affiliations

A truncation mutant of the 95-kilodalton subunit of transcription factor IIIC reveals asymmetry in Ty3 integration

M Aye et al. Mol Cell Biol. 2001 Nov.

Abstract

Position-specific integration of the retroviruslike element Ty3 near the transcription initiation sites of tRNA genes requires transcription factors IIIB and IIIC (TFIIIB and TFIIIC). Using a genetic screen, we isolated a mutant with a truncated 95-kDa subunit of TFIIIC (TFIIIC95) that reduced the apparent retrotransposition of Ty3 into a plasmid-borne target site between two divergently transcribed tRNA genes. Although TFIIIC95 is conserved and essential, no defect in growth or transcription of tRNAs was detected in the mutant. Steps of the Ty3 life cycle, such as protein expression, proteolytic processing, viruslike particle formation, and reverse transcription, were not affected by the mutation. However, Ty3 integration into a divergent tDNA target occurred exclusively in one orientation in the mutant strain. Investigation of this orientation bias showed that TFIIIC95 and Ty3 integrase interacted in two-hybrid and glutathione S-transferase pulldown assays and that interaction with the mutant TFIIIC95 protein was attenuated. The orientation bias observed here suggests that even for wild-type Ty3, the protein complexes associated with the long terminal repeats are not equivalent in vivo.

PubMed Disclaimer

Figures

FIG. 1
FIG. 1
Outline of the genetic assay for Ty3 retrotransposition. Leu+ transformants resulting from mutagenesis were patched onto SC-His-Trp-Leu medium and replicaplated onto galactose-containing medium to induce the expression of Ty3. These cultures were replica plated onto minimal medium plates supplemented with uracil to select for colonies in which suppressor activation by Ty3 insertion into the target plasmid allowed growth in medium lacking adenine and lysine.
FIG. 2
FIG. 2
Truncation of TFC1 reduces detectable insertions into a divergent tRNA gene target plasmid. (A) Schematic of the TFC1 coding region and its motifs. The TFC1 coding region (open box) contains a helix-turn-helix (HTH) DNA-binding motif (black box) closely followed by a putative nuclear localization signal (asterisk). The C-terminal acidic domain (gray box) is truncated by mTn3 insertion (open triangle). (B) Retrotransposition assay of wild-type and mutant strains. The mutant strain (25-41A) isolated from the genetic screen and the reconstructed mutant (tfc1::mTn) exhibit severely reduced retrotransposition compared to the wild-type strain (wt). The retrotransposition assay was performed as described above. Each column represents four independent transformants assayed for indicated strain as described in the legend of Fig. 1. (C) Extrachromosomal expression of TFC1 restored retrotransposition to wild-type frequencies in the mutant strain. Wild-type (wt) and mutant (tfc1) strains were transformed with either control plasmid (pRS316) or TFC1 expression plasmid (pTFC1), and retrotransposition was assayed as described above using appropriate selective media. Each column represents five independent transformants.
FIG. 3
FIG. 3
Truncation of TFC1 does not have detectable effects on growth at 37°C or on the levels of tRNA test species. (A) Serial dilutions of wild-type (wt) and mutant (tfc1) cultures were spotted onto YPD medium and incubated at 30°C for 2 days (top) or at 37°C for 3 days (bottom). (B) Northern blot analysis of tRNAMet. Yeast strains were grown in appropriate synthetic medium with raffinose (raff) or galactose (gal) as the carbon source. Total yeast RNA extracted from each culture was used for Northern blot analysis with 32P-labeled oligonucleotide specific for mature tRNAformula image. (C) Autoradiograph of the primer extension reaction. Total yeast RNA was used as the template, and 32P-labeled SUP2b-specific oligonucleotide was used as the primer for each extension reaction. A DNA-sequencing ladder was generated from the pDLC356 plasmid using the same oligonucleotide. A strain with a C56G mutation in the box B promoter element (G56) was used as a negative control. The transcription initiation site, the primer extension product from pre-tRNA, and the 5′-end-labeled free oligonucleotide are indicated by arrowheads.
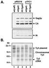
FIG. 4
FIG. 4
Truncation of TFC1 has no significant effect on the early steps of the Ty3 life cycle (A) Immunoblots with antibodies to Ty3 CA or IN proteins were performed on yeast extracts prepared from cultures grown in media containing raffinose or galactose as the carbon source. Each strain contained control plasmid (pRS316) or TFC1 expression plasmid (pTFC1) in addition to pTM45. Antibodies to CA recognize mature CA protein (26 kDa) and precursor Gag3p (38 kDa). Antibodies to IN recognize mature IN of 61 kDa. (B) Total yeast DNA was digested with EcoRI, and Southern blot analysis was performed with 32P-labeled, Ty3-specific probe, which hybridizes to full-length cDNA of 5.4 kbp as well as to Ty3 donor plasmid and chromosomal Ty3 elements (brace).
FIG. 5
FIG. 5
(A) Orientation of Ty3 integration into a target plasmid is severely skewed in the mutant strain. A target plasmid with a nonsuppressor sup2b allele and a Neo-marked Ty3 were used to collect plasmids containing insertions. These were analyzed as described in Materials and Methods. The position of the Ty3-Neo insertions (the strand transfer site distal to the tDNAVal target) into the divergent tDNA target is indicated by the arrowheads, and the distribution of events is indicated by the height of the bars. The orientation of Ty3-Neo insertions is indicated above each figure by block arrows, and the numbers of events analyzed are indicated by the corresponding numbers. (B) Orientation of Ty3 affects the sup2b in vitro transcription. In vitro transcription reactions using BR500 extracts were performed as described in Materials and Methods. The reaction with no tDNA is indicated as (−) tDNA (lane 1). SUP2b (lane 2) and tDNAVal (lane 3) were used as positive control templates for each tRNA species. The tDNA templates used are indicated; the numbers in parentheses indicate the distance, in base pairs, of the integrated Ty3 sequence from the 5′ end of the coding region of tDNAVal. D and C refer to Ty3 insertions divergent (opposite) to and corresponding to (the same as) the orientation of tDNAVal, respectively. Diagrams to the left and right of the blot indicate RNA species deduced from control reactions and previously identified processed intermediates.
FIG. 6
FIG. 6
TFIIIC95 interacts with Ty3 IN. (A) Domains of Ty3 IN and TFIIIC95 used for protein-protein interaction. IN domains cloned into two-hybrid vectors include A (amino acids 1 to 61), B (amino acids 62 to 304), and C (amino acids 305 to 536). The labels for TFIIIC95 are the same as in Fig. 2A. The numbers below represent the amino acid residues of TFIIIC95. (B) Filter assay for the yeast two-hybrid interaction. The Gal4 DNA-binding domain (BD) or the Gal4 activation domain (AD) was fused to full-length TFIIIC95, portions of TFIIIC 95, or Ty3 IN as indicated in the table. At least three independent transformants were tested for β-galactosidase (β-gal) activity for each pair of constructs. Positive and negative results are indicated by + and −, respectively, and weakly positive results are indicated by +/−. The interaction between IIIC95 and IIIC55 has been observed previously (30), and these transformants were used as a positive control. (C) The amino-terminal domain of Ty3 IN (IN-A) interacts with TFIIIC95 in the two-hybrid assay. The labels are as in panel B. (D) TFIIIC95 physically interacts with Ty3 IN in the GST pulldown assay. GST fusion proteins of full-length TFIIIC95, truncated protein (TFIIIC95ΔC), or GST bound to glutathione-Sepharose beads were incubated with 35S-labeled Ty3 IN. After repeated washing, proteins that remained bound to the beads were eluted and separated by SDS-PAGE. Labeled IN was visualized by autoradiography. Ten percent of the labeled protein used for incubation is shown for comparison, and full-length IN is indicated by an arrow. (E) IN-N (amino acids 1 to 150) physically interacts with TFIIIC95 in the GST pulldown assay. The in vitro 35S-labeled IN(N) fragment, used as the probe, is indicated by an arrow.
FIG. 7
FIG. 7
Model of Ty3 integration at an isolated tRNA gene and at tDNAVal (divergent target). (A) Integration into an isolated tRNA gene target. Hypothetical preferential interaction of TFIIIB with the U5 end and interaction of TFIIIC with the U5 end are shown. (B) Integration into the divergent tDNA target in the wild-type background. This diagram shows one possible scenario—that interference by TFIIIC bound to sup2bo with TFIIIB binding to the tDNAVal in the divergent target attenuates the TFIIIB interaction (particularly the weaker interaction at U3), thereby enhancing the dependence on the TFIIIC interaction with U5. (C) Integration into the divergent tDNA target in the tfc1 mutant. The diagram illustrates one possible scenario, i.e., that loss of the TFIIIC contact in the tfc1 mutant results in absolute dependence on the remaining TFIIIB interaction and commensurate bias in the orientation of insertions. Contacts leading to convergent insertions (same direction of transcription as the target tDNA) are shown on the left, and those leading to insertions with a divergent direction of transcription relative to the tDNAVal target are shown on the right. Target DNA is shown as an open bar, and Ty3 DNA is shown as a ribbon. Black dots indicate sites of the strand transfer reaction. TFIIIB and TFIIIC are shown as ellipses labeled B and C, respectively. A second TFIIIC bound to sup2bo in panels B and C is shown as a dashed ellipse. IN bound to the U3 and U5 ends of the DNA is shown as open and hatched balls, respectively. Interactions between DNA or protein domains at U3 and U5 and TFIIIC or TFIIIB are shown as line or block arrows correlating with the extent of the interaction. Loss of interaction in the tfc1 mutant is indicated by the X. The relative frequency of insertions is shown at the bottom of each figure. The direction of transcription of the isolated tRNA gene (A) and tRNAVal genes (B and C) is shown by shaded arrowheads. The direction of transcription of sup2bo (B and C) is shown by the open arrowhead.

References

    1. Aiyar A, Hindmarsh P, Skalka A M, Leis J. Concerted integration of linear retroviral DNA by the avian sarcoma virus integrase in vitro: dependence on both long terminal repeat termini. J Virol. 1996;70:3571–3580. - PMC - PubMed
    1. Andrake M D, Skalka A M. Retroviral Integrase, putting the pieces together. J Biol Chem. 1996;271:19633–19636. - PubMed
    1. Arciszewska L K, Drake D, Craig N L. Transposon Tn7. cis-acting sequences in transposition and transposition immunity. J Mol Biol. 1989;207:35–52. - PubMed
    1. Ausubel F M, Brent R, Kingston R E, Moore D D, Seidman J G, Smith J A, Struhl K. Current protocols in molecular biology. 4, section 20.1. New York, N.Y: Greene Publishing Associates/Wiley-Interscience; 1999.
    1. Bartholomew B, Kassavetis G A, Braun B R, Geiduschek E P. The subunit structure of Saccharomyces cerevisiae transcription factor IIIC probed with a novel photocrosslinking reagent. EMBO J. 1990;9:2197–2205. - PMC - PubMed

Publication types

MeSH terms