Reliability of functional MR imaging with word-generation tasks for mapping Broca's area
- PMID: 11673166
- PMCID: PMC7974431
Reliability of functional MR imaging with word-generation tasks for mapping Broca's area
Abstract
Background and purpose: Functional MR (fMR) imaging of word generation has been used to map Broca's area in some patients selected for craniotomy. The purpose of this study was to measure the reliability, precision, and accuracy of word-generation tasks to identify Broca's area.
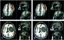
Methods: The Brodmann areas activated during performance of word-generation tasks were tabulated in 34 consecutive patients referred for fMR imaging mapping of language areas. In patients performing two iterations of the letter word-generation tasks, test-retest reliability was quantified by using the concurrence ratio (CR), or the number of voxels activated by each iteration in proportion to the average number of voxels activated from both iterations of the task. Among patients who also underwent category or antonym word generation or both, the similarity of the activation from each task was assessed with the CR. In patients who underwent electrocortical stimulation (ECS) mapping of speech function during craniotomy while awake, the sites with speech function were compared with the locations of activation found during fMR imaging of word generation.
Results: In 31 of 34 patients, activation was identified in the inferior frontal gyri or middle frontal gyri or both in Brodmann areas 9, 44, 45, or 46, unilaterally or bilaterally, with one or more of the tasks. Activation was noted in the same gyri when the patient performed a second iteration of the letter word-generation task or second task. The CR for pixel precision in a single section averaged 49%. In patients who underwent craniotomy while awake, speech areas located with ECS coincided with areas of the brain activated during a word-generation task.
Conclusion: fMR imaging with word-generation tasks produces technically satisfactory maps of Broca's area, which localize the area accurately and reliably.
Figures







References
-
- Talairach J, Tournoux P. Co-planar stereotaxic atlas of the human brain. In: 3-Dimensional Proportional System: An Approach to Cerebral Imaging. New York, NY: Thieme Medical Publishers; 1988
MeSH terms
LinkOut - more resources
Full Text Sources
Medical