Synergistic effects of alpha-toxin and perfringolysin O in Clostridium perfringens-mediated gas gangrene
- PMID: 11705975
- PMCID: PMC98889
- DOI: 10.1128/IAI.69.12.7904-7910.2001
Synergistic effects of alpha-toxin and perfringolysin O in Clostridium perfringens-mediated gas gangrene
Abstract
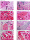
To examine the synergistic effects of alpha-toxin and perfringolysin O in clostridial myonecrosis, homologous recombination was used to construct an alpha-toxin deficient derivative of a perfringolysin O mutant of Clostridium perfringens. The subsequent strain was complemented with separate plasmids that carried the alpha-toxin structural gene (plc), the perfringolysin O gene (pfoA), or both toxin genes, and the resultant isogenic strains were examined in a mouse myonecrosis model. Synergistic effects were clearly observed in these experiments. Infection with the control strain, which did not produce either toxin, resulted in very minimal gross pathological changes, whereas the isogenic strain that was reconstituted for both toxins produced a pathology that was clearly more severe than when alpha-toxin alone was reconstituted. These changes were most apparent in the rapid spread of the disease, the gross pathology of the footpad and in the rate at which the mice had to be euthanatized for ethical reasons. Elimination of both alpha-toxin and perfringolysin O production removed most of the histopathological features typical of clostridial myonecrosis. These effects were restored when the mutant was complemented with the alpha-toxin structural gene, but reconstituting only perfringolysin O activity produced vastly different results, with regions of coagulative necrosis, apparently enhanced by vascular disruption, being observed. Reconstitution of both alpha-toxin and perfringolysin O activity produced histopathology most similar to that observed with the alpha-toxin reconstituted strain. The spreading of myonecrosis was very rapid in these tissues, and coagulative necrosis appeared to be restricted to the lumen of the blood vessels. The results of these virulence experiments clearly support the hypothesis that alpha-toxin and perfringolysin O have a synergistic effect in the pathology of gas gangrene.
Figures



References
-
- Awad M, Ellemor D, Bryant A, Matsushita O, Boyd R, Stevens D, Emmins J, Rood J. Construction and virulence testing of a collagenase mutant of Clostridium perfringens. Microb Pathog. 2000;28:107–117. - PubMed
-
- Awad M M, Bryant A E, Stevens D L, Rood J I. Virulence studies on chromosomal α-toxin and θ-toxin mutants constructed by allelic exchange provide genetic evidence for the essential role of α-toxin in Clostridium perfringens-mediated gas gangrene. Mol Microbiol. 1995;15:191–202. - PubMed
-
- Bannam T L, Rood J I. Clostridium perfringens-Escherichia coli shuttle vectors that carry single antibiotic resistance determinants. Plasmid. 1993;29:223–235. - PubMed
-
- Bryant A E, Bergstrom R, Zimmerman G A, Salyer J L, Hill H R, Tweten R K, Sato H, Stevens D L. Clostridium perfringens invasiveness is enhanced by effects of theta toxin upon PMNL structure and function: the roles of leukocytotoxicity and expression of CD11/CD18 adherence glycoprotein. FEMS Immunol Med Microbiol. 1993;7:321–336. - PubMed
Publication types
MeSH terms
Substances
LinkOut - more resources
Full Text Sources
Other Literature Sources