Increased p50/p50 NF-kappaB activation in human papillomavirus type 6- or type 11-induced laryngeal papilloma tissue
- PMID: 11773428
- PMCID: PMC135826
- DOI: 10.1128/jvi.76.3.1533-1536.2002
Increased p50/p50 NF-kappaB activation in human papillomavirus type 6- or type 11-induced laryngeal papilloma tissue
Abstract
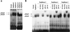
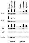
We have observed elevated NF-kappaB DNA-binding activity in nuclear extracts from human papillomavirus type 6- and 11-infected laryngeal papilloma tissues. The predominant DNA-binding species is the p50/p50 homodimer. The elevated NF-kappaB activity could be correlated with a reduced level of cytoplasmic IkappaBbeta and could be associated with the overexpression of p21(CIP1/WAF1) in papilloma cells. Increased NF-kappaB activity and cytoplasmic accumulation of p21(CIP1/WAF1) might counteract death-promoting effects elicited by overexpressed PTEN and reduced activation of Akt and STAT3 previously noted in these tissues.
Figures



References
-
- Abramson, A. L., B. M. Steinberg, and B. Winkler. 1987. Laryngeal papillomatosis: clinical, histopathologic and molecular studies. Laryngoscope 97:678–685. - PubMed
-
- Allport, V. C., D. M. Slater, R. Newton, and P. R. Bennett. 2000. NF-κB and AP-1 are required for cyclo-oxygenase 2 gene expression in amnion epithelial cell line (WISH). Mol. Hum. Reprod. 6:561–565. - PubMed
-
- Bourke, E., E. J. Kennedy, and P. N. Moynagh. 2000. Loss of IκBβ is associated with prolonged NF-κB activity in human glial cells. J. Biol. Chem. 275:39996–40002. - PubMed
-
- Brasier, A. R., M. Lu, T. Hai, Y. Lu, and I. Boldogh. 2001. NF-κB inducible BCL-3 expression is an autoregulatory loop controlling nuclear p50/NF-κB1 residence. J. Biol. Chem. 31:31. - PubMed
Publication types
MeSH terms
Substances
Grants and funding
LinkOut - more resources
Full Text Sources
Research Materials
Miscellaneous