Intimin, tir, and shiga toxin 1 do not influence enteropathogenic responses to shiga toxin-producing Escherichia coli in bovine ligated intestinal loops
- PMID: 11796630
- PMCID: PMC127712
- DOI: 10.1128/IAI.70.2.945-952.2002
Intimin, tir, and shiga toxin 1 do not influence enteropathogenic responses to shiga toxin-producing Escherichia coli in bovine ligated intestinal loops
Abstract
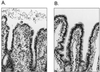
Shiga toxin-producing Escherchia coli (STEC) comprises a group of attaching and effacing (A/E) enteric pathogens of animals and humans. Natural and experimental infection of calves with STEC may result in acute enteritis or subclinical infection, depending on serotype- and host-specific factors. To quantify intestinal secretory and inflammatory responses to STEC in the bovine intestine, serotypes that are associated with human disease (O103:H2 and O157:H7) were introduced into ligated mid-ileal loops in gnotobiotic and conventional calves, and fluid accumulation and recruitment of radiolabeled neutrophils were measured after 12 h. STEC serotype O103:H2, but not serotype O157:H7, elicited strong enteropathogenic responses. To determine if the inflammatory response to STEC O103:H2 in calves requires Shiga toxin 1 or intimate bacterial attachment to the intestinal epithelium, defined mutations were made in the stx1, eae, and tir genes. Our data indicate that some STEC induce intestinal inflammatory responses in calves by a mechanism that is independent of A/E-lesion formation, intimin, or Shiga toxin 1. This may have implications for strategies to reduce STEC carriage in cattle.
Figures




References
-
- Baker, D. R., R. A. Moxley, and D. H. Francis. 1997. Variation in virulence in the gnotobiotic pig model of O157:H7 Escherichia coli strains of bovine and human origin. Adv. Exp. Med. Biol. 412:53-58. - PubMed
-
- Blake, D. C. I., R. G. Russell, E. Santini, T. Bowen, and E. C. Boedeker. 1996. Pro-inflammatory mucosal cytokine responses to Shiga-like toxin-1 (SLT-1), p. 75-82. In G. T. Keusch and M. Kawakami (ed.), Cytokines, cholera and the gut. IOS Press, Amsterdam, The Netherlands.
-
- Carlson, G. P., and J. J. Kaneko. 1973. Isolation of leukocytes from bovine peripheral blood. Proc. Soc. Exp. Biol. Med. 142:853-855. - PubMed
Publication types
MeSH terms
Substances
Grants and funding
LinkOut - more resources
Full Text Sources
Medical