A study of the ameliorating effects of carnitine on hepatic steatosis induced by total parenteral nutrition in rats
- PMID: 11819455
- PMCID: PMC4695542
- DOI: 10.3748/wjg.v5.i4.312
A study of the ameliorating effects of carnitine on hepatic steatosis induced by total parenteral nutrition in rats
Abstract
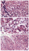
AIM:To investigate the effects of carnitine on ameliorating hepatic steatosis induced by total parenteral nutrition (TPN) in animal model.METHODS: Eighteen normal Wistar rats and 19 cirrhotic Wistar rats induced by carbon tetrachloride were randomly divided into three groups, i.e., free access to food and drink (group A), TPN (group B) and TPN+carnitine (group C) for one week, respectively. Hepatic function, histology and its fat content were determined on the 7th day.RESULTS: Hepatic triglyceride (TG) and cholesterol (CHO) contents were significantly higher in groups B and C than in group A,and significantly lower in group C than in group B in both normal and cirrhotic rats (all P < 0.05). Histopathological examinations revealed that hepatic steatosis was more severe in group B than in group C in both normal and cirrhotic rats.CONCLUSION:Carnitine can ameliorate hepatic steatosis associated with TPN in both non-cirrhotic and cirrhotic rats.
Figures
References
-
- Bowyer BA, Fleming CR, Ilstrup D, Nelson J, Reek S, Burnes J. Plasma carnitine levels in patients receiving home parenteral nutrition. Am J Clin Nutr. 1986;43:85–91. - PubMed
-
- Hahn P, Allardyce DB, Frohlich J. Plasma carnitine levels during total parenteral nutrition of adult surgical patients. Am J Clin Nutr. 1982;36:569–572. - PubMed
-
- Moukarzel AA, Dahlstrom KA, Buchman AL, Ament ME. Carnitine status of children receiving long-term total parenteral nutrition: a longitudinal prospective study. J Pediatr. 1992;120:759–762. - PubMed
-
- Bonner CM, DeBrie KL, Hug G, Landrigan E, Taylor BJ. Effects of parenteral L-carnitine supplementation on fat metabolism and nutrition in premature neonates. J Pediatr. 1995;126:287–292. - PubMed
-
- Wu MC, Yang GS. The establishment of liver cirrhosis animal model in rats. Zhonghua Shiyan Waike Zazhi. 1984;1:145–147.
LinkOut - more resources
Full Text Sources
Research Materials
Miscellaneous
