Effects of AT1 receptor antagonist, losartan, on rat hepatic fibrosis induced by CCl(4)
- PMID: 11819643
- PMCID: PMC4723553
- DOI: 10.3748/wjg.v6.i4.540
Effects of AT1 receptor antagonist, losartan, on rat hepatic fibrosis induced by CCl(4)
Abstract
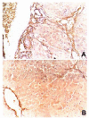
AIM:To investigate effect of losartan, an AT1 receptor antagonist, on hepatic fibrosis induced by CCl(4); and to determine whether or not AT1 receptors are expressed on hepatic stellate cells. METHODS AND RESULTS:Fifty male Sprague-Dawley rats, weighing (180 plus minus20)g, were randomized into five groups (control group, model group, and three losartan treated groups), in which all rats were given the subcutaneous injection of 40% CCl(4)(every 3 days for 6 weeks) except for rats of control group. Rats of losartan-treated groups were treated with losartan (20 mg/kg, 10 mg/kg, 5 mg/kg, daily gavage). After 6 weeks liver tissue and serum samples of all rats were examined. Serum hyaluronic acid (HA), procollagen type III (PC III) were detected by radioimmunoassays. van Giesion collagen staining was used to evaluate the extracellular matrix of rats with liver fibrosis. The expression of AT1 receptors, transforming growth factor-beta (TGF-beta), and alpha-smooth muscle actinalpha-SMA) in liver tissue were determined by immunohistochemical techniques. Compared with model group, serum ALT and AST of losartan-treated groups were significantly reduced (italic>t = 4.20,P < 0.01 and italic>t = 4.57,P < 0.01). Serum HA and PC III also had significant differences (italic>t = 3.53,P<0.01 and t=2.20, P<0.05). The degree of fibrosis was improved by losartan and correlated with the expressions of AT1 receptors, TGF-beta, and alpha-SMA in liver tissue.CONCLUSION:AT1 receptor antagonist, losartan, could limit the progression of the hepatic fibrosis induced by CCl(4). The mechanism may be related to the decrease in the expression of AT1 receptors and TGF-beta, ameliorating the injury of hepatocytes; activation of local renin-angiotensin system might relate to hepatic fibrosis; and during progression of fibrosis, activated hepatic stellate cells might express AT1 receptors.
Figures
References
-
- Wang YJ, Sun ZQ, Quan QZ, Yu JJ. Fat-storing cells and liver fibrosis. China Natl J New Gastroenterol. 1996;2:58–60.
-
- Yang XB, Huang ZM, Cao WB, Zheng M, Chen HY, Zhang JZ, Tao JH, Lu LJ, Sui X, Liu J, et al. Study on liver injury models induced by CCl4 D-Gal and ANIT in mice: World J Gastroenterol. 1998;4:63.
LinkOut - more resources
Full Text Sources
Research Materials
