Radiology resident evaluation of head CT scan orders in the emergency department
- PMID: 11827881
- PMCID: PMC7975501
Radiology resident evaluation of head CT scan orders in the emergency department
Abstract
Background and purpose: Prior studies have revealed little difference in residents' abilities to interpret cranial CT scans. The purpose of this study was to assess the performance of radiology residents at different levels of training in the interpretation of emergency head CT images.
Methods: Radiology residents prospectively interpreted 1324 consecutive head CT scans ordered in the emergency department at the University of Arizona Health Science Center. The residents completed a preliminary interpretation form that included their interpretation and confidence in that interpretation. One of five neuroradiologists with a Certificate of Added Qualification subsequently interpreted the images and classified their assessment of the residents' interpretations as follows: "agree," "disagree-insignificant," or "disagree-significant." The data were analyzed by using analysis-of-variance or chi-squared methods.
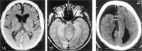
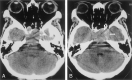
Results: Overall, the agreement rate was 91%; the insignificant disagreement rate, 7%; and the significant disagreement rate, 2%. The level of training had a significant (P =.032) effect on the rate of agreement; upper-level residents had higher rates of agreement than those of more junior residents. There were 62 false-negative findings. The most commonly missed findings were fractures (n = 18) and chronic ischemic foci (n = 12). The most common false-positive interpretations involved 10 suspected intracranial hemorrhages and suspected fractures.
Conclusion: The level of resident training has a significant effect on the rate of disagreement between the preliminary interpretations of emergency cranial CT scans by residents and the final interpretations by neuroradiologists. Efforts to reduce residents' errors should focus on the identification of fractures and signs of chronic ischemic change.
Figures




References
-
- Wysoki MG, Nassar CJ, Koenigsberg RA, et al. Head trauma: CT scan interpretation by radiology residents versus staff radiologists. Radiology 1998;208:125–128 - PubMed
-
- Funaki B, Szymski GX, Rosenblum JD. Significant on-call misses by radiology residents interpreting computed tomographic studies: perception versus cognition. Emerg Radiol 1997;4:290–294
-
- Roszler MH, McCarroll KA, Rashid T, Donovan KR, Kling GA. Resident interpretation of emergency computed tomographic scans. Invest Radiol 1991;26:374–376 - PubMed
-
- Shackford SR, Wald SL, Ross SE, et al. The clinical utility of computed tomographic scanning and neurologic examination in the management of patients with minor head injuries. J Trauma 1992;33:385–394 - PubMed
MeSH terms
LinkOut - more resources
Full Text Sources
Medical