Three cefotaximases, CTX-M-9, CTX-M-13, and CTX-M-14, among Enterobacteriaceae in the People's Republic of China
- PMID: 11850241
- PMCID: PMC127467
- DOI: 10.1128/AAC.46.3.630-637.2002
Three cefotaximases, CTX-M-9, CTX-M-13, and CTX-M-14, among Enterobacteriaceae in the People's Republic of China
Abstract
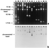
Of 15 extended-spectrum beta-lactamase (ESBL)-producing isolates of the family Enterobacteriaceae collected from the First Municipal People's Hospital of Guangzhou, in the southern part of the People's Republic of China, 9 were found to produce CTX-M ESBLs, 3 produced SHV-12, and 3 produced both CTX-M and SHV-12. Eleven isolates produced either TEM-1B or SHV-11, in addition to an ESBL. Nucleotide sequence analysis of the 12 isolates carrying bla(CTX-M) genes revealed that they harbored three different bla(CTX-M) genes, bla(CTX-M-9) (5 isolates), bla(CTX-M-13) (1 isolate), and bla(CTX-M-14) (6 isolates). These genes have 98% nucleotide homology with bla(Toho-2). The bla(CTX-M) genes were carried on plasmids that ranged in size from 35 to 150 kb. Plasmid fingerprints and pulsed-field gel electrophoresis showed the dissemination of the bla(CTX-M) genes through transfer of different antibiotic resistance plasmids to different bacteria, suggesting that these resistance determinants are highly mobile. Insertion sequence ISEcp1, found on the upstream region of these genes, may be involved in the translocation of the bla(CTX-M) genes. This is the first report of the occurrence of SHV-12 and CTX-M ESBLs in China. The presence of strains with these ESBLs shows both the evolution of bla(CTX-M) genes and their dissemination among at least three species of the family Enterobacteriaceae, Escherichia coli, Klebsiella pneumoniae, and Enterobacter cloacae, isolated within a single hospital. The predominance of CTX-M type enzymes seen in this area of China appears to be similar to that seen in South America but is different from those seen in Europe and North America, suggesting different evolutionary routes and selective pressures. A more comprehensive survey of the ESBL types from China is urgently needed.
Figures



References
-
- Arlet, G., G. Brami, D. Decre, A. Flippo, O. Gaillot, P. H. Lagrange, and A. Philippon. 1995. Molecular characterisation by PCR-restriction fragment length polymorphism of TEM β-lactamases. FEMS Microbiol. Lett. 134:203-208. - PubMed
-
- Bennett, P. M., J. Heritage, and P. M. Hawkey. 1986. An ultra-rapid method for the study of antibiotic resistance plasmids. J. Antimicrob. Chemother. 18:421-424. - PubMed
-
- Bernard, H., C. Tancrede, V. Livrelli, A. Morand, M. Barthelemy, and R. Labia. 1992. A novel plasmid-mediated extended-spectrum β-lactamase not derived from TEM- or SHV-type enzymes. J. Antimicrob. Chemother. 29:590-592. - PubMed
Publication types
MeSH terms
Substances
Associated data
- Actions
- Actions
LinkOut - more resources
Full Text Sources
Other Literature Sources
Molecular Biology Databases