Skip to main page content
U.S. flag

An official website of the United States government

Dot gov

The .gov means it’s official.
Federal government websites often end in .gov or .mil. Before sharing sensitive information, make sure you’re on a federal government site.

Https

The site is secure.
The https:// ensures that you are connecting to the official website and that any information you provide is encrypted and transmitted securely.

Access keys NCBI Homepage MyNCBI Homepage Main Content Main Navigation
. 2002 Feb;55(2):118-20.
doi: 10.1136/jcp.55.2.118.

Her-2/neu oncogene amplification in clinically localised prostate cancer

Affiliations

Her-2/neu oncogene amplification in clinically localised prostate cancer

J D Oxley et al. J Clin Pathol. 2002 Feb.

Abstract

Aim: To examine the incidence of Her-2/neu oncogene amplification in clinically localised prostate cancer using in situ hybridisation.

Methods: One hundred and seventeen patients, who had undergone radical prostatectomy, were identified and in situ hybridisation was performed on formalin fixed, paraffin wax embedded tissue using the Quantum Appligene probe for Her-2/neu. The enzyme peroxidase was used to detect the probe because this enabled a permanent record to be kept. Tumours in which there were five or more signals in each nucleus in > 20% of the tumour cells were considered to have a significantly increased copy number. A serial section from these tumours was then hybridised with the chromosome 17 alpha satellite probe. The ratio of the percentage of cells showing an increase in Her-2/neu copy number to the number showing polysomy for chromosome 17 was calculated. A ratio above 2 was considered amplified.

Results: Biochemical recurrence occurred in 50 (43%) patients and 24 (21%) had clinical recurrence. In situ hybridisation for Her-2/neu was accessible in 114 (97%) patients. A significant increase in copy number was present in two patients (1.75 %), but chromosome 17 hybridisation showed that the increase was the result of polysomy rather than true amplification. Both these patients had a Gleason score of 7 and stage T3; they also had recurrent clinical disease with distal metastasis within two and 19 months.

Conclusions: Increased Her-2/neu oncogene copy number appears to be rare in clinically localised prostatic adenocarcinoma and is related to chromosome 17 polysomy rather than true amplification. As a result, it would not be a useful biomarker for identifying those patients who will have recurrences after radical prostatectomy.

PubMed Disclaimer

Figures

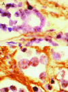
Figure 1
Figure 1
Increased copy number of the Her-2/neu gene in prostate carcinoma detected by means of enzymatic in situ hybridisation. Two prostatic adenocarcinomas: (A) one showing no increase, and (B) one with a significant increase. (Her-2/neu digoxigenin-labelled DNA probe; peroxidase detection; original magnification, ×1000.)

References

    1. Wang S, Saboorian MH, Frenkel E, et al. Laboratory assessment of the status of Her-2/neu protein and oncogene in breast cancer specimens: comparison of immunohistochemistry assay with fluorescence in situ hybridisation assays. J Clin Pathol 2000;53:374–81. - PMC - PubMed
    1. Ross JS, Nazeer T, Church K, et al. Contribution of Her-2/neu oncogene expression to tumour grade and DNA content analysis in the prediction of prostatic carcinoma metastasis. Cancer 1993;72:3020–8. - PubMed
    1. Zhau HE, Wan DS, Zhou J, et al. Expression of c-erB-2/neu proto-oncogene in human prostatic cancer tissues and cell lines. Mol Carcinog 1992;5:320–7. - PubMed
    1. Kuhn EJ, Kurnot RA, Sesterhenn IA, et al. Expression of the c-erbB-2 (Her-2/neu) oncoprotein in human prostatic carcinoma. J Urol 1993;150:1427–33. - PubMed
    1. Ross JS, Sheehan CE, Hayner-Buchan AM, et al. Prognostic significance of Her-2/neu gene amplification status by fluorescence in situ hybridization of prostate carcinoma. Cancer 1997;79:2162–70. - PubMed

Publication types