Cervical epithelial cells transduced with the papillomavirus E6/E7 oncogenes maintain stable levels of oncoprotein expression but exhibit progressive, major increases in hTERT gene expression and telomerase activity
- PMID: 11943710
- PMCID: PMC1867234
- DOI: 10.1016/S0002-9440(10)62552-7
Cervical epithelial cells transduced with the papillomavirus E6/E7 oncogenes maintain stable levels of oncoprotein expression but exhibit progressive, major increases in hTERT gene expression and telomerase activity
Abstract
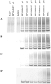
Cervical carcinoma cells display high telomerase activity and usually contain and express integrated copies of the human papillomavirus (HPV) genome. Recent studies have demonstrated that the E6 oncogene of malignancy-associated HPVs increases cellular telomerase activity, predominantly via transcriptional activation of the catalytic subunit of telomerase, hTERT. To examine the relationship between E6 oncoprotein expression and telomerase expression during cellular immortalization, we transduced primary human cervical epithelial cells with the HPV E6/E7 genes and monitored temporal changes in viral oncoprotein expression, cellular hTERT RNA expression, and cellular telomerase activity. Quantitation of the individual E6 and E7 proteins, using a newly developed immunoprecipitation/immunoblotting technique, demonstrated that both oncoproteins were expressed at stable levels during successive passages of cervical cells. In contrast, the levels of hTERT mRNA and telomerase activity increased progressively and dramatically during passaging. Late-passage immortalized cells (passage 30) showed a 25-fold increase in hTERT mRNA and a 300-fold increase in telomerase activity compared to early-passage (passage 4) cells. Thus, neither hTERT mRNA expression nor telomerase activity are directly proportional to the level of E6 oncoprotein, indicating that E6 is not the sole determinant of the high levels of telomerase in cervical cells during immortalization.
Figures



References
-
- zsn H: Papillomavirus infections—a major cause of human cancerxs. Biochem Biophys Acta 1996, 1288:55–78 - PubMed
-
- zur Hausen H: Papillomavirus causing cancer: evasion from host-cell control in early events in carcinogenesis. J Natl Cancer Inst 2000, 92:690-798 - PubMed
-
- Dyson N, Howley PM, Munger K, Harlow E: The human papilloma virus-16 E7 oncoprotein is able to bind to the retinoblastoma gene product. Science 1989, 243:934-937 - PubMed
-
- Scheffner M, Werness BA, Huibregtse JM, Levine AJ, Howley PM: The E6 oncoprotein encoded by human papillomavirus types 16 and 18 promotes the degradation of p53. Cell 1990, 63:1129-1136 - PubMed
Publication types
MeSH terms
Substances
Grants and funding
LinkOut - more resources
Full Text Sources