Molecular changes in the expression of human colonic nutrient transporters during the transition from normality to malignancy
- PMID: 11953883
- PMCID: PMC2375337
- DOI: 10.1038/sj.bjc.6600264
Molecular changes in the expression of human colonic nutrient transporters during the transition from normality to malignancy
Abstract
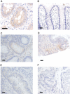
Healthy colonocytes derive 60-70% of their energy supply from short-chain fatty acids, particularly butyrate. Butyrate has profound effects on differentiation, proliferation and apoptosis of colonic epithelial cells by regulating expression of various genes associated with these processes. We have previously shown that butyrate is transported across the luminal membrane of the colonic epithelium via a monocarboxylate transporter, MCT1. In this paper, using immunohistochemistry and in situ hybridisation histochemistry, we have determined the profile of MCT1 protein and mRNA expression along the crypt to surface axis of healthy human colonic tissue. There is a gradient of MCT1 protein expression in the apical membrane of the cells along the crypt-surface axis rising to a peak in the surface epithelial cells. MCT1 mRNA is expressed along the crypt-surface axis and is most abundant in cells lining the crypt. Analysis of healthy colonic tissues and carcinomas using immunohistochemistry and Western blotting revealed a significant decline in the expression of MCT1 protein during transition from normality to malignancy. This was reflected in a corresponding reduction in MCT1 mRNA expression, as measured by Northern analysis. Carcinoma samples displaying reduced levels of MCT1 were found to express the high affinity glucose transporter, GLUT1, suggesting that there is a switch from butyrate to glucose as an energy source in colonic epithelia during transition to malignancy. The expression levels of MCT1 in association with GLUT1 could potentially be used as determinants of the malignant state of colonic tissue.
Copyright 2002 Cancer Research UK
Figures
References
-
- BaldwinSA1993Mammalian passive glucose transporters: members of a ubiquitous family of active and passive transport proteins Biochim Biophys Act 11541749 - PubMed
-
- BrownRSWahlRL1993Overexpression of Glut-1 glucose transporter in human breast cancer Cancer 7229792985 - PubMed
-
- BugautMBentejacM1993Biological effects of short-chain fatty acids in nonruminant mammals Ann Rev Nutr 13217241 - PubMed
-
- BurkittDP1971Epidemiology of cancer of the colon and rectum Cancer 28313 - PubMed
Publication types
MeSH terms
Substances
LinkOut - more resources
Full Text Sources
Other Literature Sources
Molecular Biology Databases
Miscellaneous
