Skip to main page content
U.S. flag

An official website of the United States government

Dot gov

The .gov means it’s official.
Federal government websites often end in .gov or .mil. Before sharing sensitive information, make sure you’re on a federal government site.

Https

The site is secure.
The https:// ensures that you are connecting to the official website and that any information you provide is encrypted and transmitted securely.

Access keys NCBI Homepage MyNCBI Homepage Main Content Main Navigation
. 2002 Apr 30;99(9):6147-51.
doi: 10.1073/pnas.052139599. Epub 2002 Apr 23.

Utility and distribution of conserved noncoding sequences in the grasses

Affiliations

Utility and distribution of conserved noncoding sequences in the grasses

Nicholas J Kaplinsky et al. Proc Natl Acad Sci U S A. .

Abstract

Control of gene expression requires cis-acting regulatory DNA sequences. Historically these sequences have been difficult to identify. Conserved noncoding sequences (CNSs) have recently been identified in mammalian genes through cross-species genomic DNA comparisons, and some have been shown to be regulatory sequences. Using sequence alignment algorithms, we compared genomic noncoding DNA sequences of the liguleless1 (lg1) genes in two grasses, maize and rice, and found several CNSs in lg1. These CNSs are present in multiple grass species that represent phylogenetically disparate lineages. Six other maize/rice genes were compared and five contained CNSs. Based on nucleotide substitution rates, these CNSs exist because they have biological functions. Our analysis suggests that grass CNSs are smaller and far less frequent than those identified in mammalian genes and that mammalian gene regulation may be more complex than that of grasses. CNSs make excellent pan-grass PCR-based genetic mapping tools. They should be useful as characters in phylogenetic studies and as monitors of gene regulatory complexity.

PubMed Disclaimer

Figures

Figure 1
Figure 1
lg1 CNSs conserved between maize and rice. Graphic display of CNS locations and sizes found when comparing 7,142 bp of maize sequence at lg1 with 7,100 bp of orthologous rice sequence. (A) blast parameters adjusted to favor shorter, more stringent CNSs. (B) blast parameters adjusted to favor longer, less exact matches.
Figure 2
Figure 2
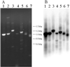
lg1 CNS3 is conserved in the grasses. CNS3 was used as a PCR primer site, paired with a lg1 exon 1 site, to amplify the promoter, 5′ untranslated region and first exon regions of lg1 from various grasses. (A) An ethidium bromide-stained gel of the PCR products. The gel was transferred onto a nylon membrane and hybridized with a combined lg1 exon 1 region from maize and rice. (B) The autoradiogram after hybridization. Lane 1, rice (Oryza sativa); lane 2, weedy foxtail (Setaria viridis); lane 3, sorghum (Sorghum bicolor); lane 4, maize (Zea mays); lane 5, Muhlenbergia porteri; lane 6, Arundo donax; lane 7, bamboo (Bambusa multiplex).

References

    1. Hardison R C. Trends Genet. 2000;16:369–372. - PubMed
    1. Kellogg E A. Plant Physiol. 2001;125:1198–1205. - PMC - PubMed
    1. Gale M D, Devos K M. Proc Natl Acad Sci USA. 1998;95:1971–1974. - PMC - PubMed
    1. Devos K M, Gale M D. Plant Cell. 2000;12:637–646. - PMC - PubMed
    1. Freeling M. Plant Physiol. 2001;125:1191–1197. - PMC - PubMed

Publication types

Substances