The method of bladder drainage in spinal cord injury patients may influence the histological changes in the mucosa of neuropathic bladder - a hypothesis
- PMID: 11980583
- PMCID: PMC113259
- DOI: 10.1186/1471-2490-2-5
The method of bladder drainage in spinal cord injury patients may influence the histological changes in the mucosa of neuropathic bladder - a hypothesis
Abstract
Background: In spinal cord injury (SCI) patients, no correlation was found between the number of bladder infections per year, the period since injury, the neurologic level of the spinal cord lesion and the histopathology of the urinary bladder mucosa. The use of chronic indwelling urethral and/or suprapubic catheters in SCI patients is often associated with inflammatory and proliferative pathological conditions in neuropathic bladder.
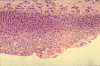
Presentation of the hypothesis: We propose a hypothesis that the type of bladder drainage in SCI patients influences the histological changes in the mucosa of neuropathic bladder. This hypothesis implies that SCI patients with long-term indwelling urinary catheters develop certain histological changes in bladder mucosa, which are seen less frequently in SCI patients, who do not use long-term indwelling catheters. The latter group includes patients, who perform regular intermittent catheterisation and those, who wear a penile sheath and empty their bladders satisfactorily by reflex voiding. We hypothesise that the following histological lesions are seen more frequently in the neuropathic bladder of SCI patients with long-term indwelling catheters.(1) Papillary or polypoid cystitis; (2) widespread cystitis glandularis; (3) moderate to severe, acute and chronic inflammatory changes in bladder mucosa; (4) follicular cystitis; (5) squamous metaplasia; and (6) urothelial dysplasia. As per this hypothesis, it is postulated that the above pathological conditions are seen less often in SCI patients, who achieve complete, low-pressure emptying of the neuropathic bladder by regular intermittent catheterisation, and SCI patients with penile sheath drainage, who empty their bladders satisfactorily by reflex voiding.
Testing the hypothesis: A large prospective study of bladder biopsies in SCI patients practising different methods of bladder drainage is required to validate this hypothesis that the histological changes in bladder mucosa are related to the method of bladder drainage in SCI patients.
Implications of the hypothesis: We propose a hypothesis that the method of bladder drainage in SCI patients influences histological changes in the bladder mucosa. If this hypothesis is validated, methods of bladder drainage such as intermittent catheterisation, which do not require the use of chronic indwelling catheters, should be recommended, in order to minimise adverse histological changes in the mucosa of neuropathic bladder of spinal cord injury patients.
Figures









References
-
- Wall BM, Dmochowski RR, Malecha M, Mangold T, Bobal MA, Cooke CR. Inducible nitric oxide synthase in the bladder of spinal cord injured patients with a chronic indwelling urinary catheter. J Urol. 2001;165:1457–1461. - PubMed
Publication types
MeSH terms
LinkOut - more resources
Full Text Sources
Medical
Research Materials