Cyclooxygenase-2 expression is induced during human megakaryopoiesis and characterizes newly formed platelets
- PMID: 12032335
- PMCID: PMC124306
- DOI: 10.1073/pnas.112202999
Cyclooxygenase-2 expression is induced during human megakaryopoiesis and characterizes newly formed platelets
Abstract
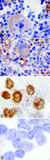
Cyclooxygenase (COX)-1 or -2 and prostaglandin (PG) synthases catalyze the formation of various PGs and thromboxane (TX) A(2). We have investigated the expression and activity of COX-1 and -2 during human megakaryocytopoiesis. We analyzed megakaryocytes from bone marrow biopsies and derived from thrombopoietin-treated CD34(+) hemopoietic progenitor cells in culture. Platelets were obtained from healthy donors and patients with high platelet regeneration because of immune thrombocytopenia or peripheral blood stem cell transplantation. By immunocytochemistry, COX-1 was observed in CD34(+) cells and in megakaryocytes at each stage of maturation, whereas COX-2 was induced after 6 days of culture, and remained detectable in mature megakaryocytes. CD34(+) cells synthesized more PGE(2) than TXB(2) (214 +/- 50 vs. 30 +/- 10 pg/10(6) cells), whereas the reverse was true in mature megakaryocytes (TXB(2) 8,440 +/- 2,500 vs. PGE(2) 906 +/- 161 pg/10(6) cells). By immunostaining, COX-2 was observed in <10% of circulating platelets from healthy controls, whereas up to 60% of COX-2-positive platelets were found in patients. A selective COX-2 inhibitor reduced platelet production of both PGE(2) and TXB(2) to a significantly greater extent in patients than in healthy subjects. Finally, we found that COX-2 and the inducible PGE-synthase were coexpressed in mature megakaryocytes and in platelets. We conclude that both COX-isoforms contribute to prostanoid formation during human megakaryocytopoiesis and that COX-2-derived PGE(2) and TXA(2) may play an unrecognized role in inflammatory and hemostatic responses in clinical syndromes associated with high platelet turnover.
Figures
 
              
              
              
              
                
                
                 
              
              
              
              
                
                
                 
              
              
              
              
                
                
                 
              
              
              
              
                
                
                 
              
              
              
              
                
                
                 
              
              
              
              
                
                
                References
Publication types
MeSH terms
Substances
LinkOut - more resources
- Full Text Sources
- Other Literature Sources
- Research Materials
 
        