STAT-3 overexpression and p21 up-regulation accompany impaired regeneration of fatty livers
- PMID: 12107100
- PMCID: PMC1850692
- DOI: 10.1016/S0002-9440(10)64167-3
STAT-3 overexpression and p21 up-regulation accompany impaired regeneration of fatty livers
Abstract
Fatty liver is an important cause of morbidity in humans and is linked to impaired liver regeneration after liver injury, but the mechanisms for impaired liver regeneration remain unknown. In the normal liver, the interleukin (IL)-6/STAT-3 pathway is thought to play a central role in regeneration because this pathway is disrupted in IL-6-deficient mice that exhibit impaired liver regeneration after 70% partial hepatectomy (PH). To determine whether inhibition of STAT-3 is involved in fatty liver-related mitoinhibition, regenerative induction of STAT-3 was compared in normal mice and leptin-deficient ob/ob mice that have fatty livers and markedly impaired liver regeneration after PH. In both groups, two waves of STAT-3 activation were observed, the first in endothelia and the second in hepatocytes. Before PH, a significantly higher percentage of ob/ob endothelial and hepatocyte nuclei expressed phosphorylated (activated) STAT-3. After PH, phospho-STAT-3 accumulated in liver nuclei of lean mice and this response was markedly exaggerated in ob/ob mice. Moreover, a striking inverse correlation was noted between hepatocyte nuclear accumulation of phospho-STAT-3 and DNA synthesis (as assessed by bromodeoxyuridine labeling), as well as cyclin D1 mRNA induction and protein expression. In contrast, STAT-3 activation was positively correlated with p21 protein expression in both groups of mice. Because these results link exaggerated STAT-3 activation with impaired hepatocyte proliferation, STAT-3 inhibition cannot be a growth-arrest mechanism in ob/ob fatty livers. Rather, hyperinduction of this factor may promote mitoinhibition by up-regulating mechanisms that impede cell cycle progression.
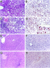
Figures
References
-
- Ludwig J, Viggiano TR, McGill DB, Oh BJ: Nonalcoholic steatohepatitis: Mayo Clinic experiences with a hitherto unnamed disease. Mayo Clin Proc 1980, 55:434-438 - PubMed
-
- Wanless IR, Lentz JS: Fatty liver hepatitis (steatohepatitis) and obesity: an autopsy study with analysis of risk factors. Hepatology 1990, 12:1106-1110 - PubMed
-
- Lee RG: Nonalcoholic steatohepatitis: a study of 49 patients. Hum Pathol 1989, 20:594-598 - PubMed
-
- Lee RG: Diagnostic Liver Pathology 1994. Mosby, St. Louis
-
- Lindblad A, Glaumann H, Strandvik B: Natural history of liver disease in cystic fibrosis. Hepatology 1999, 30:1151-1158 - PubMed
Publication types
MeSH terms
Substances
Grants and funding
LinkOut - more resources
Full Text Sources
Research Materials
Miscellaneous
