Skip to main page content
U.S. flag

An official website of the United States government

Dot gov

The .gov means it’s official.
Federal government websites often end in .gov or .mil. Before sharing sensitive information, make sure you’re on a federal government site.

Https

The site is secure.
The https:// ensures that you are connecting to the official website and that any information you provide is encrypted and transmitted securely.

Access keys NCBI Homepage MyNCBI Homepage Main Content Main Navigation
. 2002 Sep 15;22(18):8063-70.
doi: 10.1523/JNEUROSCI.22-18-08063.2002.

Beta-adrenoceptor agonists stimulate endothelial nitric oxide synthase in rat urinary bladder urothelial cells

Affiliations

Beta-adrenoceptor agonists stimulate endothelial nitric oxide synthase in rat urinary bladder urothelial cells

Lori A Birder et al. J Neurosci. .

Abstract

We have investigated the intracellular signaling mechanisms underlying the release of nitric oxide (NO) evoked by beta-adrenoceptor (AR) agonists in urinary bladder strips and cultured bladder urothelial cells from adult rats. Reverse transcription-PCR revealed that inducible NO synthase and endothelial NOS but not neuronal NOS genes were expressed in urothelial cells. NO release from both urothelial cells and bladder strips was decreased (37-42%) in the absence of extracellular Ca2+ (100 microm EGTA) and was ablated after incubation with BAPTA-AM (5 microm) or caffeine (10 mm), indicating that the NO production is mediated in part by intracellular calcium stores. NO release was reduced (18-24%) by nifedipine (10 microm) and potentiated (29-32%) by incubation with the Ca2+ channel opener BAYK8644 (1-10 microm). In addition, beta-AR-evoked NO release (isoproterenol; dobutamine; terbutaline; 10(-9) to 10(-5) m) was blocked by the NOS inhibitors N(G)-nitro-L-arginine methyl ester (30 microm) or N(G)-monomethyl-L-arginine (50 microm), by beta-adrenoceptor antagonists (propranol, beta1/beta2; atenolol, beta1; ICI 118551; beta2; 100 microm), or by the calmodulin antagonist trifluoperazine (50 microm). Incubating cells with the nonhydrolyzable GTP analog GTPgammaS (1 microm) or the membrane-permeant cAMP analog dibutyryl-cAMP (10-100 microm) directly evoked NO release. Forskolin (10 microm) or the phosphodiesterase IBMX (50 microm) enhanced (39-42%) agonist-evoked NO release. These results indicate that beta-adrenoceptor stimulation activates the adenylate cyclase pathway in bladder epithelial cells and initiates an increase in intracellular Ca2+ that triggers NO production and release. These findings are considered in light of recent reports that urothelial cells may exhibit a number of "neuron-like" properties, including the expression of receptors/ion channels similar to those found in sensory neurons.

PubMed Disclaimer

Figures

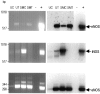
Fig. 1.
Fig. 1.
Identification of NOS isoforms in bladder tissue and cultured cells. Ethidium bromide-stained agarose gels of RT-PCR products (left column) and Southern blots (right column) indicate the presence or absence of NOS isoforms in cultured UC; UT containing urothelial cells, along with connective, vascular, and nervous tissue; cultured SMC; and de-epithelialized bladder strip (removal of epithelium from underlying smooth muscle) SMT, containing smooth muscle cells and connective, vascular, and nervous tissue. − indicates no template control; + indicates rat brain cDNA as a template. Expected product sizes: eNOS, 343 bp; iNOS, 827 bp; nNOS, 701 bp. For nNOS, the positive and negative control lanes for the Southern blot are from a shorter exposure to prevent masking of fainter signals.
Fig. 2.
Fig. 2.
Adrenoceptor agonists (isoproterenol, dobutamine, terbutaline; 10−5m) evoke NO release from isolated bladder strips (A) or isolated urothelial cells (B) from the rat urinary bladder. Control, Basal NO release was undetectable before drug application. A similar response was detected from urethral strips. C, Peak NO response to increasing concentrations (10−8 to 10−6m) of isoproterenol in isolated urothelial cells. Arrows indicate start of drug application. D, Peak NO response to repeated application of isoproterenol (ISO; 10−5m) in isolated urothelial cells. Tracing is typical of that seen in 10 separate recordings. Response was blocked by incubation with the antagonist propranolol (10−4m), and response to isoproterenol recovered after washout. Each trace is typical of the data obtained from three to six experiments (n = 3–6 animals) containing a total of 40–60 cells.
Fig. 3.
Fig. 3.
Effect of NOS antagonists on isoproterenol-evoked NO release. The NO release evoked by isoproterenol (ISO; 10−5m) in both normal urinary bladder strips (A), and urothelial cells (B) is reduced to a similar extent after incubation with the NOS antagonists l-NAME (30 μm) or l-NMMA (50 μm; data not shown). Dener indicates isoproterenol-evoked NO release from denervated urinary bladder strips after bilateral removal of MPG (4 d before). Similar effects were obtained with other adrenoceptor agonists. Each bar is typical of the data obtained from three to six experiments containing a total of 35–50 cells. Values represent mean ± SEM; *significantly different from ISO alone.
Fig. 4.
Fig. 4.
Influence of stimulus duration on peak NO release from isolated urothelial cells. A, The left trace depicts NO release after a brief 1 sec pulse isoproterenol (ISO; 10−5m) application; the right trace depicts NO release after a sustained (10 sec duration) isoproterenol (10−5m) application. B, NO release from an individual urothelial cell, as demonstrated by raising the microsensor (from 15 to 30 μm) and reapplying isoproterenol. Response was lost at a distance of 30 μm from the cell surface. All NO recordings in this report were made from urothelial cells with a ≥30 μm cell-free radius surrounding them.
Fig. 5.
Fig. 5.
β-adrenoceptor agonist activates the adenylate cyclase pathway and initiates increased intracellular Ca2+ and NO release in rat urothelial cells.A, Inset, Transient NO release from urothelial cells elicited by application of isoproterenol (ISO; [Ca2+]o = 1.8 mm) was diminished in the absence ([Ca2+]o ≈ 0) of extracellular calcium (100 μm EGTA). The graph depicts isoproterenol-elicited NO production in urothelial cells (percentage change in NO): [Ca2+]o ≈ 0; isoproterenol-evoked NO release is diminished in the absence of extracellular Ca2+. NIF, Reduction of isoproterenol-evoked NO release after incubation with the L-type Ca2+ channel antagonist nifedipine (10 μm); BAYK, increase in isoproterenol-evoked NO release after incubation with BAYK8644 (10 μm); Caffeine, significant reduction in isoproterenol-evoked NO release after repeated (n = 3) incubations with caffeine (10 mm);BAPTA-AM, block of transient isoproterenol-evoked NO release after incubation with BAPTA-AM (5 μm). A similar response was detected in bladder strips (data not shown).B, Transient NO release elicited by increasing concentrations (10–100 μm) of the membrane-permeant cAMP analog dibutyryl-cAMP. Arrows indicate the start of drug application, which occurred 3 sec before the onset of NO release.C, Isoproterenol-evoked NO release from isolated urothelial cells is enhanced (percentage change in NO) after incubation with either forskolin (10 μm) or the phosphodiesterase inhibitor IBMX (50 μm). Data are based on calculations from 30 to 50 cells per treatment, recorded in a minimum of three independent experiments. Values represent mean ± SEM; *significantly different from isoproterenol alone.

References

    1. Alfierei AB, Malave A, Cubeddu LX. Nitric oxide synthases and cyclophosphamide induced cystitis in rats. Naunyn Schmiedebergs Arch Pharmacol. 2001;363:353–357. - PubMed
    1. Andersson KE. Pharmacology of lower urinary tract smooth muscles and penile erectile tissues. Pharmacol Rev. 1993;45:253–308. - PubMed
    1. Andersson KE, Persson K. Nitric oxide synthase and the lower urinary tract: possible implications for physiology and pathophysiology. Scand J Urol Nephrol Suppl. 1995;175:43–53. - PubMed
    1. Bennett BC, Kruse MN, Roppolo JR, Flood HD, Fraser MO, de Groat WC. Neural control of urethral outlet activity in vivo: role of nitric oxide. J Urol. 1995;153:2004–2009. - PubMed
    1. Bevan S, Winter J. Nerve growth factor (NGF) differentially regulates the chemosensitivity of adult rat cultured sensory neurons. J Neurosci. 1995;15:4918–4926. - PMC - PubMed

Publication types

MeSH terms