Innate recognition of bacteria by a macrophage cytosolic surveillance pathway
- PMID: 12359878
- PMCID: PMC129788
- DOI: 10.1073/pnas.202476699
Innate recognition of bacteria by a macrophage cytosolic surveillance pathway
Abstract
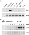
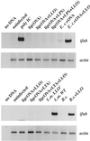
Host recognition of bacterial pathogens is a critical component of the immune response. Intracellular bacterial pathogens are able to evade the humoral immune system by residing within the host cell. Here we show the existence of an innate host surveillance mechanism in macrophages that specifically distinguishes bacteria in the cytosol from bacteria in the vacuole. Recognition of Gram-positive and Gram-negative bacterial products by this surveillance system results in transcription of the ifnb gene. The activation of cytosol-specific signaling is associated with translocation of NF-kappaB into the nucleus and phosphorylation of the p38 mitogen-activated protein (MAP) kinase. Activation of the p38 kinase is required for the induction of gene expression by the cytosolic surveillance pathway. Our studies suggest that infection by intracellular bacterial pathogens results in an immune response distinct from that of infection by extracellular bacterial pathogens.
Figures





References
-
- Janeway C A, Jr, Medzhitov R. Annu Rev Immunol. 2002;20:197–216. - PubMed
-
- Aderem A, Underhill D M. Annu Rev Immunol. 1999;17:593–623. - PubMed
-
- Maniatis T, Falvo J V, Kim T H, Kim T K, Lin C H, Parekh B S, Wathelet M G. Cold Spring Harbor Symp Quant Biol. 1998;63:609–620. - PubMed
-
- Sen G C. Annu Rev Microbiol. 2001;55:255–281. - PubMed
-
- Philpott D J, Yamaoka S, Israel A, Sansonetti P J. J Immunol. 2000;165:903–914. - PubMed
Publication types
MeSH terms
Substances
Grants and funding
LinkOut - more resources
Full Text Sources
Other Literature Sources