Air pollution induces heritable DNA mutations
- PMID: 12473746
- PMCID: PMC138537
- DOI: 10.1073/pnas.252499499
Air pollution induces heritable DNA mutations
Abstract
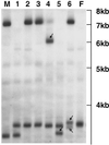
Hundreds of thousands of people worldwide live or work in close proximity to steel mills. Integrated steel production generates chemical pollution containing compounds that can induce genetic damage (1, 2). Previous investigations of herring gulls in the Great Lakes demonstrated elevated DNA mutation rates near steel mills (3, 4) but could not determine the importance of airborne or aquatic routes of contaminant exposure, or eliminate possible confounding factors such as nutritional status and disease burden. To address these issues experimentally, we exposed laboratory mice in situ to ambient air in a polluted industrial area near steel mills. Heritable mutation frequency at tandem-repeat DNA loci in mice exposed 1 km downwind from two integrated steel mills was 1.5- to 2.0-fold elevated compared with those at a reference site 30 km away. This statistically significant elevation was due primarily to an increase in mutations inherited through the paternal germline. Our results indicate that human and wildlife populations in proximity to integrated steel mills may be at risk of developing germline mutations more frequently because of the inhalation of airborne chemical mutagens.
Figures
References
-
- Legzdins A. E., McCarry, B. E. & Bryant, D. W. (1994) Polycyclic Aromat. Compd. 5, 157-165.
-
- Marvin C. H., Allan, L., McCarry, B. E. & Bryant, D. W. (1993) Environ. Mol. Mutagen. 22, 61-70. - PubMed
-
- Yauk C. L., Fox, G. A., McCarry, B. E. & Quinn, J. S. (2000) Mutat. Res. 452, 211-218. - PubMed
-
- Kelly R., Bulfield, G., Collick, A., Gibbs, M. & Jeffreys, A. J. (1989) Genomics 5, 844-856. - PubMed
Publication types
MeSH terms
Substances
LinkOut - more resources
Full Text Sources
Medical
