Functional second genes generated by retrotransposition of the X-linked ribosomal protein genes
- PMID: 12490704
- PMCID: PMC140079
- DOI: 10.1093/nar/gkf696
Functional second genes generated by retrotransposition of the X-linked ribosomal protein genes
Abstract
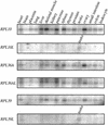
We have identified a new class of ribosomal protein (RP) genes that appear to have been retrotransposed from X-linked RP genes. Mammalian ribosomes are composed of four RNA species and 79 different proteins. Unlike RNA constituents, each protein is typically encoded by a single intron- containing gene. Here we describe functional autosomal copies of the X-linked human RP genes, which we designated RPL10L (ribosomal protein L10-like gene), RPL36AL and RPL39L after their progenitors. Because these genes lack introns in their coding regions, they were likely retrotransposed from X-linked genes. The identities between the retrotransposed genes and the original X-linked genes are 89-95% in their nucleotide sequences and 92-99% in their amino acid sequences, respectively. Northern blot and PCR analyses revealed that RPL10L and RPL39L are expressed only in testis, whereas RPL36AL is ubiquitously expressed. Although the role of the autosomal RP genes remains unclear, they may have evolved to compensate for the reduced dosage of X-linked RP genes.
Figures





References
-
- Wool I.G. (1979) The structure and function of eukaryotic ribosomes. Annu. Rev. Biochem., 48, 719–754. - PubMed
-
- Wool I.G., Chan,Y.L. and Glück,A. (1996) Mammalian ribosomes: the structure and the evolution of the proteins. In Hershey,J.W.B., Mathews,M.B. and Sonenberg,N. (eds), Translational Control. Cold Spring Harbor Laboratory Press, Cold Spring Harbor, NY, pp. 685–732.
-
- Henderson A.S., Warburton,D. and Atwood,K.C. (1973) Ribosomal DNA connectives between human acrocentric chromosomes. Nature, 245, 95–97. - PubMed
-
- Worton R.G., Sutherland,J., Sylvester,J.E., Willard,H.F., Bodrug,S., Dube,I., Duff,C., Kean,V., Ray,P.N. and Schmickel,R.D. (1988) Human ribosomal RNA genes: orientation of the tandem array and conservation of the 5′ end. Science, 239, 64–68. - PubMed
-
- Sorensen P.D., Lomholt,B., Frederiksen,S. and Tommerup,N. (1991) Fine mapping of human 5S rRNA genes to chromosome 1q42.11–q42.13. Cytogenet. Cell Genet., 57, 26–29. - PubMed
Publication types
MeSH terms
Substances
Associated data
- Actions
- Actions
- Actions
- Actions
- Actions
- Actions
LinkOut - more resources
Full Text Sources
Molecular Biology Databases