Social exploitation of vitellogenin
- PMID: 12566563
- PMCID: PMC149913
- DOI: 10.1073/pnas.0333979100
Social exploitation of vitellogenin
Abstract
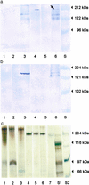
Vitellogenin is a female-specific glucolipoprotein yolk precursor produced by all oviparous animals. Vitellogenin expression is under hormonal control, and the protein is generally synthesized directly before yolk deposition. In the honeybee (Apis mellifera), vitellogenin is not only synthesized by the reproductive queen, but also by the functionally sterile workers. In summer, the worker population consists of a hive bee group performing a multitude of tasks including nursing inside the nest, and a forager group specialized in collecting nectar, pollen, water, and propolis. Vitellogenin is synthesized in large quantities by hive bees. When hive bees develop into foragers, their juvenile hormone titers increase, and this causes cessation of their vitellogenin production. This inverse relationship between vitellogenin synthesis and juvenile hormone is opposite to the norm in insects, and the underlying proximate processes and life-history reasons are still not understood. Here we document an alternative use of vitellogenin by showing that it is a source for the proteinaceous royal jelly that is produced by the hive bees. Hive bees use the jelly to feed larvae, queen, workers, and drones. This finding suggests that the evolution of a brood-rearing worker class and a specialized forager class in an advanced eusocial insect society has been directed by an alternative utilization of yolk protein.
Figures


References
-
- Byrne B M, Gruber M, Ab G. Prog Biophys Mol Biol. 1989;53:33–69. - PubMed
-
- Mann C J, Anderson T A, Read J, Chester S A, Harrison G B, Kochl S, Ritchie P J, Bradbury P, Hussain F S, Amey J, et al. J Mol Biol. 1999;285:391–408. - PubMed
-
- Wheeler D E, Kawooya J K. Arch Insect Biochem Physiol. 1990;14:253–267. - PubMed
-
- Pinto L Z, Bitondi M M G, Simões Z L P. J Insect Physiol. 2000;46:153–160. - PubMed
-
- Engels W. Am Zool. 1974;14:1229–1237.
Publication types
MeSH terms
Substances
LinkOut - more resources
Full Text Sources