Skip to main page content
U.S. flag

An official website of the United States government

Dot gov

The .gov means it’s official.
Federal government websites often end in .gov or .mil. Before sharing sensitive information, make sure you’re on a federal government site.

Https

The site is secure.
The https:// ensures that you are connecting to the official website and that any information you provide is encrypted and transmitted securely.

Access keys NCBI Homepage MyNCBI Homepage Main Content Main Navigation
. 2003 May;24(5):799-804.

Apparent diffusion coefficient determination in normal fetal brain: a prenatal MR imaging study

Affiliations

Apparent diffusion coefficient determination in normal fetal brain: a prenatal MR imaging study

Andrea Righini et al. AJNR Am J Neuroradiol. 2003 May.

Abstract

Background and purpose: Diffusion-weighted MR imaging studies of normal brain development have focused on premature babies who were free of focal lesions on conventional MR images. The condition of prematurity, however, is dissimilar to intrauterine life. We sought to establish normal values of fetal brain apparent diffusion coefficient (ADC) to highlight its abnormal changes in pathologic conditions and to obtain information about normal brain development.

Methods: We measured the ADC, in utero, by using an echo-planar three-axes diffusion-sensitized sequence (b factor, 0 and 600 s/mm(2)), in frontal and occipital white matter and basal ganglia gray matter of 15 fetuses. Their gestational ages ranged from 22 to 35 weeks, and the postnatal MR images or sonograms revealed normal brain.

Results: Mean ADC value was 1.96 +/- 0.1 micro m(2)/ms (SD) in frontal white matter, 1.95 +/- 0.1 micro m(2)/ms in occipital white matter, and 1.56 +/- 0.1 micro m(2)/ms in basal ganglia. A significant negative correlation between ADC and gestational age was found for basal ganglia, whereas only a trend was present for frontal white matter.

Conclusion: Although moderately higher, the ADC determinations we obtained are consistent with those reported in the literature in postnatal studies performed in premature babies.

PubMed Disclaimer

Figures

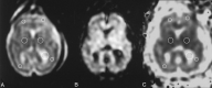
F<sc>ig</sc> 1.
Fig 1.
Representative case (fetus 10 in Table). A, T2-weighted echo-planar image (b = 0 s/mm2), B, corresponding DW image, and C, resultant trace ADC map illustrate typical ROIs (circles in A and C) traced on an axial section at the basal ganglia level.
F<sc>ig</sc> 2.
Fig 2.
Graph shows the mean ADC values (bars indicate 2 SDs) for frontal and occipital white matter, basal ganglia, and CSF ROIs. The mean ADC of basal ganglia is significantly lower than that of white matter ROIs. * indicates P < .0001 (paired t test).
F<sc>ig</sc> 3.
Fig 3.
Graphs show the correlation between ADC values for the ROIs traced and gestational age. A significant negative correlation was present only for the basal ganglia ROI. A, Basal ganglia: Y = 2.222 − 0.024X; R2 = 0.471; P = .0096. B, Frontal white matter: Y = 2.394 − 0.015X; R2 = 0.182; P = .1457. C, Occipital white matter: Y = 2.14 − 0.007X; R2 = 0.028; P = .5654.

References

    1. Warach S, Chien D, Li W, et al. Fast magnetic resonance diffusion-weighted imaging of acute human stroke.Neurology 1992;42:1717–1723 - PubMed
    1. Kim JA, Chung JI, Yoon PH, et al. Transient MR signal changes in patients with generalized tonicoclonic seizure or status epilepticus: periictal diffusion-weighted imaging.AJNR Am J Neuroradiol 2001;22:1149–1160 - PMC - PubMed
    1. Liu AY, Maldjian JA, Bagley LJ, Sinson GP, Grossman RI. Traumatic brain injury: diffusion-weighted MR imaging findings.AJNR Am J Neuroradiol 1999;20:1636–1641 - PMC - PubMed
    1. Roychowdhury S, Maldjian JA, Grossman RI. Multiple sclerosis: comparison of trace apparent diffusion coefficients with MR enhancement pattern of lesions.AJNR Am J Neuroradiol 2000;21:869–874 - PMC - PubMed
    1. Cowan FM, Pennock JM, Hanrahan JD, et al. Early detection of cerebral infarction and hypoxic-ischemic encephalopathy in neonates using diffusion-weighted magnetic resonance imaging.Neuropediatrics 1994;25:172–175 - PubMed

LinkOut - more resources