Skip to main page content
U.S. flag

An official website of the United States government

Dot gov

The .gov means it’s official.
Federal government websites often end in .gov or .mil. Before sharing sensitive information, make sure you’re on a federal government site.

Https

The site is secure.
The https:// ensures that you are connecting to the official website and that any information you provide is encrypted and transmitted securely.

Access keys NCBI Homepage MyNCBI Homepage Main Content Main Navigation
. 2003 Jun;88(6):532-5.
doi: 10.1136/adc.88.6.532.

Bochdalek diaphragmatic hernia: not only a neonatal disease

Affiliations

Bochdalek diaphragmatic hernia: not only a neonatal disease

M Mei-Zahav et al. Arch Dis Child. 2003 Jun.

Abstract

Aims: To characterise the clinical manifestations of late presenting Bochdalek diaphragmatic hernia (DH), the incidence of misdiagnosis, and prognosis; and to explore the sequence of events that leads to this clinical picture.

Methods: Retrospective chart review. All children with Bochdalek DH were identified. Children 1 month of age and older at the time of diagnosis were included.

Results: Twenty two children with Bochdalek DH met the inclusion criteria. Three clinical presentations could be defined. Fourteen children presented with acute onset of symptoms, predominantly vomiting and respiratory distress. Four had chronic non-specific gastrointestinal or respiratory symptoms, and in four the DH was found incidentally. Although five children were initially misdiagnosed, in 20 children (91%) the correct diagnosis was made on x ray examination. One child experienced a complicated course when the x ray picture was misinterpreted as pneumothorax. All children had favourable outcome. Two children had previously normal chest imaging, suggesting acquired herniation. A large pleural effusion without DH in a 9.5 year old girl with an abdominal infection prior to presenting with herniation suggests a pre-existing defect in the diaphragm.

Conclusions: Late presenting Bochdalek DH can present with acute or chronic gastrointestinal, or less frequently, respiratory symptoms. It can also be found incidentally. Misdiagnosis can result in significant morbidity. Favourable outcome is expected when the correct diagnosis is made. The sequence of events is probably herniation of abdominal viscera through a pre-existing diaphragmatic defect. Although rare, DH should be considered in any child presenting with respiratory distress or with symptoms suggestive of gastrointestinal obstruction.

PubMed Disclaimer

Figures

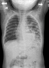
Figure 1
Figure 1
A 15 month old boy presented with restlessness. Bowel sounds were heard on auscultation in the left hemithorax. Chest x ray examination confirmed the diagnosis of DH.
Figure 2
Figure 2
A 9.5 year old girl presented with periappendiceal abscess accompanied by a large pleural effusion, which was drained. Chest CT at that time did not show any abdominal viscera within the thorax (A). She presented one month later with abdominal pain and bilious vomiting. A chest CT at that time showed bowel loops (arrowheads) within the thorax (B).

References

    1. J Pediatr Surg. 2002 Mar;37(3):548-50 - PubMed
    1. Surgery. 1967 Dec;62(6):1082-91 - PubMed
    1. Am J Surg. 1976 Jun;131(6):748-54 - PubMed
    1. Pediatr Radiol. 1975 Sep 15;3(4):201-5 - PubMed
    1. J Pediatr Surg. 1977 Oct;12(5):657-65 - PubMed