Clarithromycin and pulmonary infiltration with eosinophilia
- PMID: 12816827
- PMCID: PMC1126252
- DOI: 10.1136/bmj.326.7403.1377
Clarithromycin and pulmonary infiltration with eosinophilia
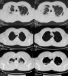
Figures


References
-
- Reeder WH, Goodrich BE. Pulmonary infiltration with eosinophilia (PIE syndrome). Ann Intern Med 1952;36: 1217-40. - PubMed
-
- Allen JN, Davis WB. Eosinophilic lung diseases. Am J Respir Crit Care Med 1994;150: 1423-38. - PubMed
-
- Lopez M, Salvaggio JE. Eosinophilic pneumonias. Immunol Allergy Clin North Am 1992;12: 349-63.
-
- Rosenow EC III, Myers JL, Swensen SJ, Pisani RJ. Drug-induced pulmonary disease. An update. Chest 1992;102: 239-50. - PubMed
-
- Ozkan M, Dweik RA, Ahmad M. Drug-induced lung disease. Cleve Clin J Med 2001; 68: 782-5, 789-95. - PubMed