Skip to main page content
U.S. flag

An official website of the United States government

Dot gov

The .gov means it’s official.
Federal government websites often end in .gov or .mil. Before sharing sensitive information, make sure you’re on a federal government site.

Https

The site is secure.
The https:// ensures that you are connecting to the official website and that any information you provide is encrypted and transmitted securely.

Access keys NCBI Homepage MyNCBI Homepage Main Content Main Navigation
Review
. 2003 Jun;18(2):125-8.
doi: 10.3904/kjim.2003.18.2.125.

Unusual presentation of thymic carcinoma: hypertrophic osteoarthropathy

Affiliations
Review

Unusual presentation of thymic carcinoma: hypertrophic osteoarthropathy

Seok Jin Kim et al. Korean J Intern Med. 2003 Jun.

Abstract

Hypertrophic osteoarthropathy is characterized by clubbing and periosteal new bone formation along the shaft of the long bones of the extremities. Although various intrathoracic malignancies have been associated with the development of HOA, it has been extremely rare for HOA to occur in a patient with a thymic carcinoma. Recently, we experienced a 63-year-old woman diagnosed as a thymic carcinoma with hypertrophic osteoarthropathy. She had both digital clubbing and cortical thickening in her lower extremities identified radiologically. We herein describe this case with a review of the literature.

PubMed Disclaimer

Figures

Figure 1.
Figure 1.
Clubbing of fingers.
Figure 2.
Figure 2.
(A) Bone scan shows diffusely increased uptake along the cortical portions of both lower extremities. (B) Left tibia and fibular X-ray films demonstrate diffuse cortical thickening (arrows).
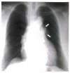
Figure 3.
Figure 3.
Chest PA view shows left mediastinal bulging (arrows).
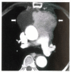
Figure 4.
Figure 4.
At carinal level, chest CT scan shows a heterogeneous enhancing mass (arrows) with pericardial effusion in anterior mediastinum.
Figure 5.
Figure 5.
Irregular nests of malignant tumor cells with some necrotic area. Tumor cells show poorly differentiated appearance with hyperchromatic and irregular nuclei and moderate amount of eosinophilic cytoplasm. Mitotic figures are frequently seen (Hematoxylin & Eosin, ×200).

References

    1. Gilliland BC. Relapsing polychondiritis and other arthritides. In: Braunwald E, Fauci AS, Kasper DL, Hauser SL, Longo DL, Jameson JL, editors. Harrison’s Principles of Internal Medicine. 15th ed. New York: McGraw-Hill; 2001. pp. 2005–2016.
    1. Miller RR. Carcinoma of the thymus with marked pulmonary osteoarthropathy. Radiology. 1939;32:651.
    1. Lesser M, Mouli CC, Jothikumar T. Hypertrophic osteoarthropathy associated with a malignant thymoma. Mt Sinai J Med. 1980;47:24–30. - PubMed
    1. Gharbi A, Benjelloun A, Ouzidane L, Ksiyer M. Hypertrophic osteoarthropathy associated with malignant thymoma in a child. J Radiol. 1997;78:303–304. - PubMed
    1. Yochum TR, Rowe LJ. Essentials of skeletal radiology. 2nd ed. Maryland: Williams & Wilkins; 1996. pp. 925–929.