Skip to main page content
U.S. flag

An official website of the United States government

Dot gov

The .gov means it’s official.
Federal government websites often end in .gov or .mil. Before sharing sensitive information, make sure you’re on a federal government site.

Https

The site is secure.
The https:// ensures that you are connecting to the official website and that any information you provide is encrypted and transmitted securely.

Access keys NCBI Homepage MyNCBI Homepage Main Content Main Navigation
. 2003 Sep;23(18):6419-34.
doi: 10.1128/MCB.23.18.6419-6434.2003.

Mice deficient for testis-brain RNA-binding protein exhibit a coordinate loss of TRAX, reduced fertility, altered gene expression in the brain, and behavioral changes

Affiliations

Mice deficient for testis-brain RNA-binding protein exhibit a coordinate loss of TRAX, reduced fertility, altered gene expression in the brain, and behavioral changes

Vargheese Chennathukuzhi et al. Mol Cell Biol. 2003 Sep.

Abstract

Testis-brain RNA-binding protein (TB-RBP), the mouse orthologue of the human protein Translin, is a widely expressed and highly conserved protein with proposed functions in chromosomal translocations, mitotic cell division, and mRNA transport and storage. To better define the biological roles of TB-RBP, we generated mice lacking TB-RBP. Matings between heterozygotes gave rise to viable, apparently normal homozygous mutant mice at a normal Mendelian ratio. The TB-RBP-related and -interacting protein Translin-associated factor X was reduced to 50% normal levels in heterozygotes and was absent in TB-RBP-null animals. The null mice were 10 to 30% smaller than their wild-type or heterozygote littermates at birth and remained so to about 6 to 9 months of age, showed normal B- and T-cell development, and accumulated visceral fat. TB-RBP-null male mice were fertile and sired offspring but had abnormal seminiferous tubules and reduced sperm counts. Null female mice were subfertile and had reduced litter sizes. Microarray analysis of total brain RNA from null and wild-type mice revealed an altered gene expression profile with the up-regulation of 14 genes and the down-regulation of 217 genes out of 12,473 probe sets. Numerous neurotransmitter receptors and ion channels, including gamma-aminobutyric acid A receptor alpha1 and glutamate receptor alpha3, were strongly down-regulated. Behavioral abnormalities were also seen. Compared to littermates, the TB-RBP-null mice appeared docile and exhibited reduced Rota-Rod performance.

PubMed Disclaimer

Figures

FIG. 1.
FIG. 1.
Targeted mutagenesis of the TB-RBP genomic locus by the gene trap method. (A) Restriction map of the mouse TB-RBP gene showing the six exons and restriction sites (H, HindIII; Xb, XbaI; X, XhoI; E, EcoRI). The gene trap construct contained a 5′ LTR, a splice acceptor sequence (SA), βgeo, a Bruton tyrosine kinase gene fragment (BTK), and a 3′ LTR. (B) Southern blot of genomic DNA (5 μg) from wild-type, heterozygous, and homozygous targeted mice after restriction digestion with HindIII. A 400-bp genomic DNA fragment from intron 3 of the TB-RBP gene was used as a probe for the Southern blot analysis. The endogeneous allele is indicated by a 3.3-kb DNA fragment, and the targeted allele is indicated by a 2.1-kb DNA fragment. (C) PCR analysis for genotyping of TB-RBP targeted mice. Genomic DNA samples were PCR amplified with primers F1, F2, and R1 as indicated in panel A. Amplification by primers F1 and R1 gave a 300-bp product from the endogenous allele, whereas primers F2 and R1 amplified a 1.8-kb product from the targeted allele.
FIG. 2.
FIG. 2.
Growth curves for a representative litter from a heterozygous cross showing that +/+ (squares) and ± (triangles) mice have similar growth rates (upper curve), while −/− mice (lower curve) have a lower growth rate from birth to 96 days after birth. By 6 months of age, no significant difference in weight was seen between null mice and their littermates. Data are means and SEMs.
FIG. 3.
FIG. 3.
Distributions of TB-RBP and TRAX and of their mRNAs in mouse tissues. (A) Western blot of TB-RBP and TRAX in various tissues of +/+, +/−, and −/− mice. Postmitochondrial extracts (30 μg) from adult mice were separated by SDS-10% polyacrylamide gel electrophoresis, transferred to nylon membranes, and probed with affinity-purified antibodies to TB-RBP and TRAX. To detect any residual TB-RBP in extracts from null mice, the Western blot was intentionally overexposed. (B) Northern blot analysis of TB-RBP and TRAX mRNAs in brains, lung, and testes of +/+, +/−, and −/− mice. Total RNAs (10 μg) from adult mice were hybridized to cDNAs encoding TB-RBP, TRAX, and actin.
FIG. 4.
FIG. 4.
Normal T- and B-cell development in TB-RBP-deficient adult mice. Thymocytes, BM cells, and splenocytes from null and wild-type littermate controls were stained as follows. Thymocytes were stained with PE-anti-CD8 and APC-anti-CD4; BM cells were stained with fluorescein isothiocyanate-anti-CD43, PE-anti-B220, BI-anti-IgM, and APC-anti-AA4; and splenocytes were stained with PE-anti-CD19 and APC-anti-TcRβ. A total of 100,000 cells/tube were analyzed by flow cytometry as described in Materials and Methods. Numbers indicate percentages of total cells. sIgM, secretory IgM.
FIG. 5.
FIG. 5.
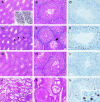
Testes from null mice show abnormal spermatogenesis and increased cell death. Histological analysis of Bouin fixative-fixed testicular sections from wild-type mice (A to C and G to I) and TB-RBP-null mice (D to F and J to L) that were 2 months old (A to F) and 8 months old (G to L) is shown. Samples in panels A, B, D, E, G, H, J, and K were stained with hematoxylin and eosin. Samples in panels C, F, I, and L were stained with an ApopTag peroxidase staining kit and counterstained with hematoxylin. Arrows in panels D and E show vacuoles. The inset in panel A shows the immunolocalization of TB-RBP in testes from wild-type mice by use of an affinity-purified antibody to TB-RBP and horseradish peroxidase staining. The inset in panel L shows meiosis-arrested germ cells undergoing cell death. Magnifications: A, D, G, and J, ×25; B, C, E, F, H, I, K, and L, ×100.
FIG. 6.
FIG. 6.
Disruption of TB-RBP leads to behavioral deficits in the accelerating Rota-Rod test. The latency to falling (mean and SEM) for TB-RBP knockout mice (▴) was significantly shorter than that for wild-type littermates (▪) over nine trials. The performance of both groups improved significantly over the course of training, but the rates of improvement did not differ significantly.

References

    1. Allman, D., R. C. Lindsley, W. De Muth, K. Rudd, S. A. Shinton, and R. R. Hardy. 2001. Resolution of three nonproliferative immature splenic B cell subsets reveals multiple selection points during peripheral B cell maturation. J. Immunol. 167:6834-6840. - PubMed
    1. Alvarez, G. E., S. D. Beske, T. P. Ballard, and K. P. Davy. 2002. Sympathetic neural activation in visceral obesity. Circulation 106:2533-2536. - PubMed
    1. Aoki, K., J. Inazawa, T. Takahashi, K. Nakahara, and M. Kasai. 1997. Genomic structure and chromosomal localization of the gene encoding translin, a recombination hotspot binding protein. Genomics 43:237-241. - PubMed
    1. Aoki, K., R. Ishida, and M. Kasai. 1997. Isolation and characterization of a cDNA encoding a Translin-like protein TRAX. FEBS Lett. 401:109-112. - PubMed
    1. Aoki, K., K. Suzuki, R. Ishida, and M. Kasai. 1999. The DNA binding activity of Translin is mediated by a basic region in the ring-shaped structure conserved in evolution. FEBS Lett. 443:363-366. - PubMed

Publication types

MeSH terms

LinkOut - more resources