Skip to main page content
U.S. flag

An official website of the United States government

Dot gov

The .gov means it’s official.
Federal government websites often end in .gov or .mil. Before sharing sensitive information, make sure you’re on a federal government site.

Https

The site is secure.
The https:// ensures that you are connecting to the official website and that any information you provide is encrypted and transmitted securely.

Access keys NCBI Homepage MyNCBI Homepage Main Content Main Navigation
Case Reports
. 2003 Oct;56(10):791-4.
doi: 10.1136/jcp.56.10.791.

A tale of three aspirations: foreign bodies in the airway

Affiliations
Case Reports

A tale of three aspirations: foreign bodies in the airway

B Pritt et al. J Clin Pathol. 2003 Oct.

Abstract

Tracheobronchial foreign body aspiration is a serious medical problem, with clinical manifestations ranging from acute asphyxiation to insidious lung damage, as demonstrated by the three presented cases. Patient 1 aspirated during dinner, emergency bronchoscopy retrieved pieces of food, and she fully recovered the following day. Patient 2 presented with recurrent pneumonia and a right lower lobe lung abscess. After right lower lobectomy, pathology revealed a foreign object in the right main stem bronchus, a peanut aspirated one year earlier. Patient 3 became unresponsive several days after spinal surgery. The differential diagnosis included myocardial infarction, stroke, and foreign body aspiration. The patient died and necropsy revealed a foreign body in the right main stem bronchus (cooked meat). Thus, foreign body aspiration is not always suspected clinically, and the pathologist may play an important role in making the diagnosis. Histological identification of the aspirated material may be necessary for definitive diagnosis. Therefore, sections of commonly aspirated foods are presented, together with a 10 year history of aspirated objects received by this institution's surgical pathology department.

PubMed Disclaimer

Figures

Figure 1
Figure 1
Retrieved bronchial specimen (chicken) in patient 1. Note the degenerated muscle fibres with lack of prominent cross striations and nuclei (haematoxylin and eosin stained).
Figure 2
Figure 2
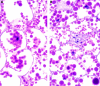
(A) The foreign object identified in the bronchus of patient 2. Patient history suggests this object was a peanut M&M® (haematoxylin and eosin stained). The patient’s specimen was compared with sections of a known formalin fixed peanut M&M® (B) for accurate identification. The chocolate candy coating was dissolved in formalin before sectioning, leaving only the peanut centre, seen above. Note the numerous hyaline globules within the cells (haematoxylin and eosin stained).
Figure 3
Figure 3
(A) A section from the bronchial foreign body in patient 3, comprising necrotic smooth and skeletal muscle with numerous admixed yeast forms, consistent with cooked meat (haematoxylin and eosin stained). (B) Smaller muscle fragments and acute inflammation were identified within this patient’s alveoli (haematoxylin and eosin stained).
Figure 4
Figure 4
Lentil bean with nutrient material (starch) in cell compartments (haematoxylin and eosin stained).
Figure 5
Figure 5
(A) Blueberry and (B) watermelon seeds (haematoxylin and eosin stained). After sectioning, each seed consisted mainly of an outer shell (shown) with most of the centre being empty. Note the blue/purple pigmented plastids in the blueberry.
Figure 6
Figure 6
Hotdog with degenerated muscle tissue (arrow) and plant material (arrowhead) admixed with fat and connective tissue (haematoxylin and eosin stained).

References

    1. Center for Disease Control (CDC). Nonfatal choking-related episodes among children—United States, 2001. MMWR Morb Mortal Wkly Rep 2002;51:945–48. - PubMed
    1. Bhana BD, Gunaselvam JG, Dada MA. Mechanical airway obstruction caused by accidental aspiration of part of a ballpoint pen. Am J Forensic Med Pathol 2000;21:362–5. - PubMed
    1. Al-Majed SA, Ashour M, Mobeireek AF, et al. Overlooked inhaled foreign bodies: late sequelae and the likelihood of recovery. Respir Med 1997;91:293–6. - PubMed
    1. Baharloo F, Veyckemans F, Francis C, et al. Tracheobronchial foreign bodies: presentation and management in children and adults. Chest 1999;115:1357–62. - PubMed
    1. Steen KH, Zimmermann T. Tracheobronchial aspiration of foreign bodies in children: a study of 94 cases. Laryngoscope 1990;100:525–30. - PubMed

Publication types